哒螨灵,又名哒螨酮,英文名为pyridaben,为广谱触杀性杀螨杀虫剂,多用于棉花、柑桔、果树等经济作物螨类害虫防治。由于其中毒发生率较低,临床研究较少。本文报道1例口服哒螨灵中毒致脑出血后的死亡病例。
1 资料与方法患者,女,28岁。2019年10月20日下午15时许自服15%哒螨灵约20 mL。16时电话告知亲友,后被亲友送至当地卫生院清水洗胃4 000 mL。转运途中有恶心、干呕。洗胃后转至当地上级医院治疗。查体:血压65/26 mmHg(1 mmHg=0.133 kPa),意识不清,双侧瞳孔直径5.0 mm;叹气样呼吸。监测血气:氧分压(PO2)33 mmHg,pH 6.81,血乳酸(Lac)15.0 mmol/L;血钾6.0 mmol/L。给予气管插管机械通气,去甲肾上腺素联合多巴胺维持血压。再转至本院治疗。
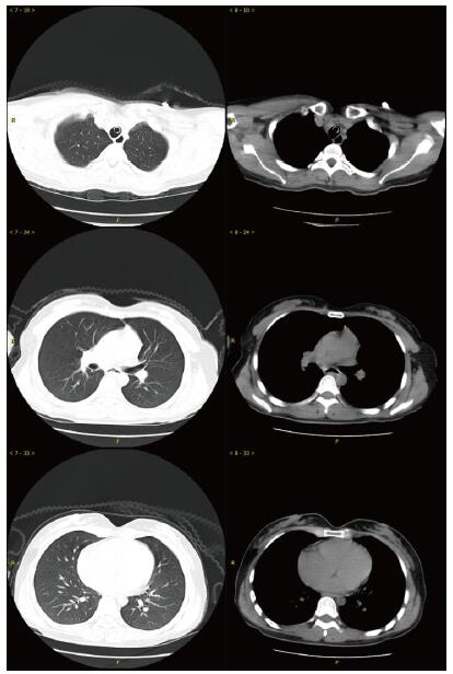
当晚20时到达本院,入院时患者昏迷,血压低、心肌损伤、轻度心衰, 低氧血症, 肝损伤。相关实验室检查:血气PaO2 44 mmHg,生化指标谷丙转氨酶(ALT)528.8 U/L,谷草转氨酶(AST)780.9 U/L,胆红素正常,尿素氮(BUN)3.6 mmol/L,肌酐(Cr)125.7 μmol/L,血糖7.88 mmol/L,心肌肌酐蛋白(cTnT)55.94 ng/mL,N末端B型利钠肽原(NT-pro BNP)495.7 pg/mL,神经元特异性烯醇化酶(NSE)47.46 ng/mL。胸部CT未见明显异常(图 1),头颅CT未见明显异常(图 2A)。给予异甘草酸镁保肝,乙酰半胱氨酸抗氧化,兰索拉唑保护胃黏膜,并予血液灌流治疗一次。
|
| 图 1 患者入抢救室时肺部CT影像 |
|
|
|
| A:入抢救室当日(中毒首日);B:住院第5天(中毒第6天);C:住院第8天(中毒第9天) 图 2 患者头颅CT影像 |
|
|
次日晚间收住入院。住院第2天监测血压99/72 mmHg。实验室检查:cTnT 245.4 ng/L,NT-pro BNP 18.57 pg/mL,BUN 2.68 mmol/L,Cr 40.5 μmol/L,血钾3.82 mmol/L。血气:PO2 116 mmHg,pH 7.498, Lac 1.58 mmol/L。并CRRT治疗:治疗前APTT为32.2 s,阿加曲班抗凝,治疗剂量40 mL/(kg·h)。第3天继续CRRT治疗,阿加曲班抗凝,监测APTT为62.9 s(为正常值2倍)。第4天停CRRT, 记录自发尿量1 920 mL /24 h。第5天神志逐步转清,有指令动作,自主呼吸良好,停机械通气。脱机拔管后查颅脑CT双侧基底节区及脑干低密度影, 考虑中毒性脑病改变(图 2B),胸部CT未见明显异常。监测APTT为26.7 s。第7天患者再次昏迷,并有呼吸急促,脉氧下降。再次行气管插管呼吸机支持。监测肝功能进一步好转(ALT 187.7 U/L,AST 92.2 U/L)。第8天17时发现患者瞳孔不等大,左侧3.5 mm,右侧4.5 mm, 对光反射消失,即查颅脑CT示右侧基底节区出血(图 2C)。家属要求保守治疗。第9天患者处于深昏迷状态,家属放弃继续治疗出院。出院一周后随访患者死亡。
2 讨论哒螨灵是日本日产化学公司在1985年研发的杀虫剂。国内企业于1992年开始登记生产。其化学名称为2-特丁基-5-(4-特丁基苄硫基)-4-氯哒嗪-3-(2H)酮;分子式为C19H25ClN2OS;相对分子质量为364.93[1-2]。哒螨灵触杀性极强,但是没有熏蒸、内吸和传导作用,主要是抑制肌肉组织、神经组织中电子传递系统染色体I中谷氨酸脱氢酶的合成[3]。在同类农药中,对神经母细胞瘤细胞毒性由大到小依次为:哒螨灵 > 鱼藤酮 > 芬吡肟酯 > 氟那氮喹 > 替苯芬平[4]。对人体的毒性主要与哒螨灵可导致人体线粒体功能障碍,抑制细胞内呼吸功能有关。联合国粮农组织(FAO)/国际贸易组织(WTO)规定,人体允许摄入量为0.405 mg/(kg·d)[5]。
哒螨灵口服中毒后机体细胞内呼吸功能抑制,导致细胞缺氧,无糖酵解,乳酸快速堆积,机体迅速出现代谢性酸中毒,重要脏器灌注不足,早期即可表现肝功能异常甚至肝衰竭;心肌酶谱增高,心肌收缩力减低,胰腺功能受损,血淀粉酶增高,血糖应激性增高[3]。由于人体脑组织供应的血流非常丰富,因此对缺氧表现也非常敏感。但哒螨灵中毒并发脑病报道较少,并发脑出血者罕见。该例患者中毒后出现恶心呕吐,提示该药对胃肠道有刺激性;后出现多系统损伤。早期即出现意识障碍,并渐加重至昏迷,有脑神经元损伤,但早期头颅CT未见明显异常;患者有严重低血压,需要大剂量血管活性药物维持血压;患者严重低氧血症,需要呼吸机支持,但肺部影像学未见明显异常;患者有乳酸酸中毒、肝肾功能损伤和心肌受损,但上述损伤大多在支持治疗2~4 d后完全正常或出现明显好转。但第5天头颅CT提示患者出现中毒性脑病表现,患者神志在短暂好转后又再次恶化,第8天原右侧基底节区水肿部位出现脑出血。
目前哒螨灵尚无特效解毒剂。患者口服大剂量哒螨灵中毒观察到短期昏迷, 呼吸和循环衰竭, 心脏、肺脏、肾脏和脑损伤, 表明对人体毒害不可低估[6-7]。从发病到死亡短则几小时,而大于72 h罕见,能够救治成功的往往是小剂量中毒的患者,从而不能表现出明显的影像学变化。目前尚无改善线粒体功能的特效药物,临床仅能通过积极有效的早期毒物清除来减轻机体细胞呼吸的抑制,改善患者预后。循环、呼吸、肝肾功能短时间可正常或基本恢复,可采取体外支持技术,但脑病表现恢复慢,且严重脑细胞损伤无有效支持替代技术,且有脑出血可能。因此对于重度哒螨灵中毒的患者需要更加关注脑损害的保护和预防。
利益冲突 所有作者均声明不存在利益冲突
| [1] | 李蓓, 杨仁斌, 佘佳荣. 哒螨灵的残留分析方法研究进展[J]. 农业环境科学学报, 2007, 26(2): 662-667. |
| [2] | 徐英, 庄占兴, 郭雯婷, 等. 哒螨灵研究开发现状与展望[J]. 山东化工, 2016, 45(24): 34-38. DOI:10.3969/j.issn.1008-021X.2016.24.014 |
| [3] | 阳文新, 王跃华, 张晓娟, 等. 哒螨灵中毒致多器官功能障碍1例[J]. 河北医药, 2013, 35(8): 1279-1280. DOI:10.3969/j.issn.1002-7386.2013.08.094 |
| [4] | Boyd J, Saksena A, Patrone JB, et al. Exploring the boundaries of additivity: mixtures of NADH: quinone oxidoreductase inhibitors[J]. Chem Res Toxicol, 2011, 24(8): 1242-1250. DOI:10.1021/tx200098r |
| [5] | 张一宾, 张怿. 农药[M]. 北京: 中国物资出版社, 1997. |
| [6] | 陈丹, 杜玲玲, 尹建亚, 等.口服哒螨灵中毒至昏迷1例[R].《中华急诊医学杂志》第十三届组稿会暨第六届急诊医学青年论坛, 杭州, 2014. |
| [7] | 于海涛, 吴君仓. 哒螨灵中毒1例[J]. 医学理论与实践, 2020, 33(4): 626. DOI:10.19381/j.issn.1001-7585.2020.04.058 |
2020, Vol. 29



