患者男,75岁,因“发作性胸痛3 h”入院,患者3 h前无明显诱因下出现胸痛,位于胸骨后,持续性压榨感,有向后背部放射,有大汗淋漓,无晕厥,无咯血,无肢端疼痛冰冷,无腹痛,到院后查心电图未见ST-T特异性改变,基础病史:高血压病史2年,最高收缩压180 mmHg(1 mmHg=0.133 kPa),未正规诊治; 查体:体温36.7℃,脉搏71次/min,呼吸17次/min,血压135/90 mmHg,神志清楚,皮肤干燥,双肺呼吸音清,未闻及干湿性啰音,心率71次/min,律齐,心脏各瓣膜听诊区未闻及杂音,腹部软,剑突下有轻压痛,无反跳痛,Murphy征阴性,麦氏点无压痛,双侧肾区无叩痛。
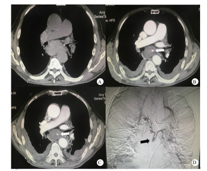
入院急诊心超示:升主动脉内径稍增宽。主动脉瓣反流(轻度)二尖瓣反流(轻度)。胸片示:右肺中叶感染性病变可能大,查胸部CT(图 1A)示:胸段食管不规则增厚,周边可见肿大淋巴结,建议胃镜及增强CT进一步检查。慢性支气管炎、肺气肿伴两肺感染,左肺支气管扩张,双侧少量胸腔积液。急诊医师予抗感染,化痰及减轻胃酸分泌等治疗后,患者胸痛未见好转,进一步查增强CT(图 1B)示:食管壁弥漫性水肿,围绕食管壁周围高密度影,考虑纵隔血肿形成,伴有活动性出血,联系介入科后行介入治疗,造影(图 1C)示:左右支气管动脉可见交通支,交通支可见假性动脉瘤表现,予行超选择性靶血管栓塞术。术后3 d复查胸部增强CT(图 1D)示:支气管动脉瘤破裂出血介入栓塞术后,纵隔血肿。较前纵隔血肿稍有吸收,目前未见活动性出血征象。患者术后第6天好转出院。
|
| 图 1 患者影像学检查结果(A:患者入院后胸部CT检查结果; B:患者胸部增强CT结果,箭头所指处为支气管动脉瘤显影; C:患者术后复查增强CT结果,箭头所指处为动脉瘤已栓塞; D:患者造影中结果,箭头所指即左右支气管动脉交通支中的动脉瘤) |
|
|
支气管动脉瘤在临床中较罕见,该疾病在选择性支气管动脉造影中报道的发生率 < 1%,支气管动脉瘤形成的确切病因不明。目前假说中分为原发性和继发性,继发性现有假说考虑可能与血管粥样硬化、肺部炎症反应、外伤有关,以上因素导致支气管动脉压力增加、血流量增多或局部血管壁损伤,之后形成动脉瘤[1]。支气管动脉瘤根据其产生位置可分为肺内型和纵隔型,临床症状主要与动脉瘤大小、部位、是否破裂、有无其他同时存在的疾病等相关,据2018年San Norberto等[2]对108例支气管动脉瘤的统计中,在已经破裂的支气管动脉瘤患者中最常见的症状为急性胸痛,其次为咯血、背痛或是上腹部疼痛,较少见的症状有吞咽困难、呼吸困难等。
目前临床中诊治该疾病主要依靠CT检查或血管造影,有少部分病例是通过磁共振检查发现,胸部平片对该疾病的诊断帮助不大,本病例即是如此,从急诊胸部平片提示肺部感染但无法解释患者存在的一系列症状,后进一步完善胸部CT发现支气管动脉瘤,这个过程提示支气管动脉瘤虽然临床中罕见,却是诊治胸痛患者中需警惕并且可急诊发现的疾病之一。
治疗方法目前临床常用的有开放性手术或血管介入,San Norberto等[2]对既往108例支气管动脉瘤统计中比较开放性手术和血管介入的成功比例相仿,开放性手术包括开胸切除瘤体、结扎瘤体、单肺叶切除术、半边肺脏切除术。血管介入术包括血管栓塞术及覆膜支架植入术。因血管介入治疗创伤低、风险低、选择度高等特点,在无血管介入禁忌的患者中已成为首选的治疗措施。
综上所述,支气管动脉瘤是一个临床中较少见的疾病,早期发现能够降低患者的风险,在以胸痛、呼吸道症状如咯血或纵隔内脏器官压迫症状,甚至呕血起病的患者中,初步诊治后不明原因的,急诊医师尽早完善增强CT或血管造影等检查,可有效地发现潜在的疾病。
利益冲突 所有作者均声明不存在利益冲突
| [1] | Kalangos A, Khaehatourian G, Panos A, et al. Ruptured mediastinal bronchial artery aneurysm: A dilemma of diagnosis and therapeutic approach[J]. Thorac Cardiovasc Surg, 1997, 114(5): 853-856. DOI:10.1016/S0022-5223(97)70094-1 |
| [2] | San Norberto EM, Urbano García J, Montes JM, et al. Endovascular treatment of bronchial aneurysms[J]. J Thorac Cardiovasc Surg, 2018, 156(2): e109-e117. DOI:10.1016/j.jtcvs.2017.12.121 |
2020, Vol. 29



