心肌夹层(Intramyocardial Dissecting Hematoma,IDH)为急性心肌梗死后最为严重的并发症之一[1],临床罕见,国内外病例报道均不多[2-8]。笔者回访研究本院经超声确诊的3例急性心肌梗死后心肌夹层患者,并复习相关文献,探讨急诊超声对于该病的诊断思路及对临床的意义。
1 资料与方法收集本院2016年9月至2018年8月经超声诊断的急性心肌梗死后心肌夹层共3例病患资料,3例患者均以急诊床旁超声为首选影像学检查,仪器采用Phillip CX 50便携式超声仪,选取成人心脏模式,探头频率2.5~5 MHz。
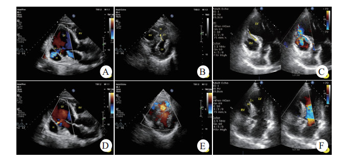
1.1 病例1男,69岁,胸痛6 d,急诊查体发现心尖区Ⅲ/6级收缩期杂音,心电图提示“下壁、后壁导联ST段上抬”,当日床旁超声心动图提示“左室下后壁运动异常,心包腔少-中量积液”,未发现穿孔或夹层。收入CCU后杂音持续存在,次日申请超声会诊,提示“左室后壁中间段心肌夹层(夹层瘤大小1.8 cm×1.6 cm)”(见图 1-A, B),同日左心声学造影证实上述诊断。临床给予药物治疗。住院第13天复查床边超声发现夹层瘤较前增大(3.3 cm×2.8 cm);第24天左心声学造影发现夹层瘤处心外膜断裂,假性室壁瘤形成,心包积液增多。会诊无外科手术指征,介入亦对预后改善不详,继续以内科保守治疗为宜。30 d病情好转出院。6个月后门诊复查超声提示“左室下后壁心肌夹层假腔内血栓形成(4.4 cm×3.4 cm)”。
|
| A.左室后壁心肌内夹层血肿,内膜分离清晰可见,而心外膜完整,收缩期左室血流通过交通孔进入血肿内;B.舒张期血流再经交通孔返回左室;C.心尖肌层内血肿,内膜呈不规则断裂;D.左室血流涌入血肿并与右室交通,心肌交通路径非同水平;E.室间隔内匍匐状夹层瘤,左室面见断裂的心内膜,收缩期左室血流进入夹层瘤并再次破入右室;F.舒张期夹层瘤腔隙变小。LV.左室,RV.右室,H.夹层血肿/夹层瘤,En.心内膜 图 1 不同部位心肌夹层超声表现 |
|
|
男,69岁,胸痛7 d,急诊查体发现胸骨左缘第4~5肋间4/6级连续性杂音,心电图提示“V1~4导联ST段抬高”,床边超声心动图提示“前间隔、左室前壁运动异常,左室心尖夹层瘤(2.5 cm×1.4 cm)形成并室间隔穿孔(非夹层水平)”(见图 1-C, D),临床治疗上给予药物治疗为主。1周后全麻下行室间隔封堵术,封堵未成功,术后患者血压进行性下降,一周后出现心源性休克,抢救无效死亡。
1.3 病例3男,70岁,胸痛2 d,急诊查体发现胸骨左缘第2肋间3~4级性质粗糙的收缩期杂音,心电图提示“前间壁相关导联ST段升高”,床旁超声心动图提示“前间隔、左室前壁运动异常并心尖部室壁瘤形成,室间隔穿孔并夹层,心包腔少量积液”(见图 1-E, F)。该患者放弃治疗。
2 讨论心肌夹层实属于亚急性心脏破裂,病情凶险,发病率低而致死率高[1, 9],1990年以前主要通过尸检发现[9-10],而近年随着影像技术发展,尤其是超声心动图的普及和提高,对该病的认识有所进展[16]。
2.1 病理基础及发病该病的病理基础是心肌梗死部位在高压血液的冲击下,心内膜断裂,血液进入肌层形成螺旋形或匍匐形通道并扩大,但心外膜保持完整,内充满血肿,心肌内交通非同一水平,即心肌夹层[11]。螺旋形通道对血肿的扩张有加速作用,此外,溶栓或PCI等治疗引起的心肌再灌注可能加剧血肿扩大[10]。2013年有报道12提出心肌夹层出现在心梗后1~17 d(平均7.5 d),最新的研究则指出从出现症状到诊断的平均时间约9 d[10],本文3例患者从发病到确诊的时间分别为6 d、7 d、2 d。心电图检查通常提示梗死心肌相关导联ST抬高[10],本文3例患者均有ST抬高的心电图表现。此外,3例患者查体时均在相应听诊区闻及Ⅲ级以上杂音,对该病亦有强烈提示。
2.2 超声表现及诊断思路心肌夹层通常有以下超声表现[20, 22]:①心肌梗死部位新发的不规则无回声腔,内径可随心动周期变化(收缩期增大,舒张期反之);②腔隙可见心内膜飘动,但心外膜完整;③夹层在室间隔时可见螺旋形通道;④左室与夹层瘤之间通过破口有血流交通;⑤随访可见夹层瘤内由血栓充填而自愈;⑥可合并其他心脏破裂表现,如心包腔积液[18]、乳头肌断裂、室间隔穿孔、假性室壁瘤等。Barrón等[13]指出满足以上3条及以上即可诊断心肌夹层,本研究3例均符合第①、②条表现,2例室间隔夹层见螺旋形通道(第③条),1例下后壁夹层可见夹层瘤内往返血流(第④条)以及6个月后血栓充填(第⑤条),合并症中2例伴心包腔积液、2例穿孔、1例出现晚发假性室壁瘤。
| 作者 | 报道时间 | 地区 | 夹层部位 | 治疗/转归 |
| Pliam MB, Sternlieb JJ[1] | 1993 | 美国 | 左室下壁1例 | 外科手术/病情稳定 |
| Martinez Gonzalez D, Jaqués Andrés C. Vicho Pereira R[2] | 2018 | 西班牙 | 右室壁1例 | 保守治疗/病情稳定 |
| Cicenia M, Fedele F, Petronilli V, et al[3] | 2017 | 瑞士 | 左室后壁1例 | N |
| Wilson JR, Marshall RJ, Shanbhag SM, et al[4] | 2012 | 美国 | 左室下壁延续至左房1例 | 抢救无效死亡 |
| Yaman M, Arslan U, Aksakal A[5] | 2016 | 美国 | 左室心尖1例 | 保守治疗/死亡 |
| Gandhi S, Wright D, Salehian O[6] | 2017 | 加拿大 | 左室心尖1例 | 保守治疗/病情稳定 |
| 魏颖, 张波, 刘怡, 等[7] | 2016 | 中国 | 左室侧壁1例 | 外科手术/病情稳定 |
| 毕亮亮, 李瑞, 邸桂新, 等[8] | 2017 | 中国 | 左室后壁1例 | 抢救无效死亡 |
| Yilmaz F, Guler GB, Karaca O, et al[9] | 2012 | 土耳其 | 前壁心尖1例 | 保守治疗/病情稳定 |
| Leitman M, Tyomkin V, Sternik L, et al[10] | 2018 | 以色列 | 前壁心尖2例 | 1例外科手术/病情稳定;1例冠脉介入治疗/病情稳定 |
| 赵映, 孙琳, 韩建成, 等[11] | 2016 | 中国 | 左室下壁2例;右室下壁1例;室间隔3例;左室心尖3例;左室侧壁1例 | 6例保守治疗/其中1例死亡;3例外科手术/其中1例死亡 |
| Vargas-Barrón J, Roldán FJ, Romero-Cárdenas A, et al[13] | 2009 | 墨西哥 | 室间隔9例,左室游离壁6例 | 5例保守治疗/其中1例死亡;6例外科手术/其中4例死亡;冠脉介入治疗2例/其中1例死亡;室间隔封堵2例/其中1例死亡 |
| Pontone G, Bertella E, Andreini D[15] | 2014 | 意大利 | 左室侧壁1例 | 保守治疗/病情稳定 |
| Morrondo P, Artaetxeberria JJ, Eguibar I[21] | 2014 | 西班牙 | 左室侧壁1例 | 外科手术/死亡 |
| 谷孝艳, 何怡华, 栾妹蓉, 等[22] | 2015 | 中国 | 室间隔13例(11例为右冠窦破入室间隔形成) | 12例外科手术/病情稳定;1例放弃治疗 |
| 刘宏强, 王义成, 马力丰, 等[23] | 2017 | 中国 | 室间隔3例;左室下后壁3例 | N |
| 本研究 | 2019 | 中国 | 室间隔1例;左室心尖1例;左室后壁1例 | 1例保守治疗/病情稳定;1例室间隔封堵/死亡;1例放弃治疗 |
急性心梗后心肌夹层多发生于前间壁,如合并心尖室间隔穿孔会使表现更复杂,而下后壁心梗则合并后间隔穿孔常见[10, 13-14, 21],本研究2例前间壁心梗后夹层分别发生于室间隔心尖段、中间段,1例夹层发生于后壁。
由上可见,急性心梗后心肌夹层发生率低,超声易漏诊23,如何提高诊断率,笔者总结出以下思路:①发病期,急性心梗后两周内是心肌夹层高发期,心电图提示相关导联ST抬高。②听诊杂音,加强与临床医师沟通,如未发现室间隔穿孔,应多扫查余左室壁,如病例1的漏诊。③好发部位,前间壁,尤其心尖部应多扫查,易误诊为单纯穿孔。④心外膜完整且与左室面破口非同水平的心肌内无回声腔是确切依据,彩色多普勒观察到交通血流可进一步证实。⑤多切面扫查,胸骨旁四腔可更好的观察心尖夹层及穿孔,而剑突下切面对于观察下壁及右室夹层有利。⑥鉴别诊断,下后壁夹层极易与假性室壁瘤混淆,仔细扫查心外膜发现后者的断裂;心尖夹层由于具体表太近,难与伪影、肌小梁、血栓鉴别,多切面、多心动周期观察心内膜完整性有助鉴别。
急诊诊断困难时,可进一步行左心声学造影,有利于观察心外膜完整性,鉴别肌小梁、血栓等结构,如病例1。有文献建议必要时可行经食道超声心动图(TEE)明确诊断[14],但TEE对患者检查前准备要求更高,检查中易诱发血压升高、心率失常等等,增大不良事件的发生率。国外亦有文献提到磁共振是心肌夹层诊断的金标准[10, 15],但磁共振检查时间长且昂贵,不能作为首诊选择。
2.3 预后及转归心肌夹层致死率接近50%[12],治疗包括内科保守治疗、介入封堵、外科修复等[17],但干预手段目前仍存在争议[10]。一般认为局限于心尖且不合并穿孔等其他严重并发症的心肌夹层有自愈倾向,可保守治疗[13];而合并其他严重并发症、超声随访发现夹层瘤进行性增大、左室EF进行性下降的患者,应积极准备外科手术[10, 17]。心肌夹层的临床结局可以是瘤腔逐渐缩小或者继续撕裂、穿孔[14],前者最终由血栓充填而病情趋稳,如本文病例1,后者可继发严重心衰、心源性休克甚至死亡,如病例2。
利益冲突 所有作者均声明不存在利益冲突
| [1] | Pliam MB, Sternlieb JJ. Intramyocardial dissecting hematoma: an unusual form of subacute cardiac rupture[J]. Card Surg, 1993, 8(6): 628-637. DOI:10.1111/j.1540-8191.1993.tb00422.x |
| [2] | Martinez Gonzalez D, Jaqués Andrés C, Vicho Pereira R. Intramyocardial dissecting hematoma of right ventricle following a myocardial infarction[J]. Intensive Care Med, 2018, 44(6): 980. DOI:10.1007/s00134-018-5115-y |
| [3] | Cicenia M, Fedele F, Petronilli V, et al. Hidden in the heart: A peculiar type of left ventricular remodeling after acute myocardial infarction[J]. Echocardiography, 2017, 34(11): 1738-1739. DOI:10.1111/echo.13658 |
| [4] | Wilson JR, Marshall RJ, Shanbhag SM, et al. Multimodality imaging of a dissecting intramyocardial hematoma extending into the left atrial wall following myocardial infarction[J]. Circulation, 2012, 126(23): e339-e341. DOI:10.1161/CIRCULATIONAHA.112.117390 |
| [5] | Yaman M, Arslan U, Aksakal A, et al. Giant intramyocardial dissecting hematoma: a rare sequela of subacute myocardial infarction[J]. Texas Heart Inst J, 2016, 43(3): 277-278. DOI:10.14503/THIJ-15-5142 |
| [6] | Gandhi S, Wright D, Salehian O. Getting over a broken heart: intramyocardial dissecting hematoma as late presentation of myocardial infarction[J]. CASE, 2017, 1(6): 245-249. DOI:10.1016/j.case.2017.07.008 |
| [7] | 魏颖, 张波, 刘怡, 等. 床旁超声心动图诊断射频消融术后心脏左心室心肌夹层破裂1例[J]. 中国介入心脏病学杂志, 2016, 24(3): 171-172. DOI:10.3969/j.issn.1004-8812.2016.03.011 |
| [8] | 毕亮亮, 李瑞, 邸桂新, 等. 心肌梗死后并发左室心肌夹层、室间隔穿孔1例[J]. 医学研究与教育, 2017, 34(4): 78-80. DOI:10.3969/j.issn.1674-490X.2017.04.016 |
| [9] | Yilmaz F, Guler GB, Karaca O, et al. Subacute anterior wall myocardial infarction complicated by intramyocardial dissection[J]. Am J Emerg Med, 2012, 30(5): 834.e5-6. DOI:10.1016/j.ajem.2011.03.005 |
| [10] | Leitman M, Tyomkin V, Sternik L, et al. Intramyocardial dissecting hematoma: Two case reports and a meta-analysis of the literature[J]. Echocardiography, 2018, 35(2): 260-266. DOI:10.1111/echo.13796 |
| [11] | 赵映, 孙琳, 韩建成, 等. 急性心肌梗死后心肌夹层临床观察[J]. 中华医学杂志, 2016, 96(40): 3239-3241. DOI:10.3760/cma.j.issn.0376-2491.2016.40.009 |
| [12] | Vargas-Barrón J, Roldán FJ, Romero-Cárdenas A, et al. Intramyocardial dissecting hematoma and postinfarction cardiac rupture[J]. Echocardiography, 2013, 30(1): 106-113. DOI:10.1111/echo.12017 |
| [13] | Vargas-Barrón J, Roldán FJ, Romero-Cárdenas A, et al. Dissecting intramyocardial hematoma: clinical presentation, pathophysiology, outcomes and delineation by echocardiography[J]. Echocardiography, 2009, 26(3): 254-261. DOI:10.1111/j.1540-8175.2008.00804.x |
| [14] | 赵映, 何怡华, 刘文旭, 等. 急性心肌梗死后心肌夹层的超声心动图特点及临床转归[J]. 中国医学影像技术, 2015, 31(7): 1011-1014. DOI:10.13929/j.1003-3289.2015.07.012 |
| [15] | Pontone G, Bertella E, Andreini D, et al. Postoperative dissecting ventricular haematoma: a conservative strategy with a cardiac magnetic resonance imaging follow-up[J]. Eur Heart J-Cardiovasc Imaging, 2014, 15(10): 1151. DOI:10.1093/ehjci/jeu079 |
| [16] | 杨黎明, 赵博文, 洪玉才, 等. 初学者应用5 min A-F简便记忆法床旁超声心动图在诊断急性胸痛中的价值[J]. 中华急诊医学杂志, 2019, 28(1): 90-95. DOI:10.3760/cma.j.issn.1671-0282.2019.01.017 |
| [17] | 张晓捷, 何帆, 韩杰, 等. 7例急性心肌梗死并发室间隔穿孔的外科治疗[J]. 中华急诊医学杂志, 2019, 28(6): 800-802. DOI:10.3760/cma.j.issn.1671-0282.2019.06.032 |
| [18] | Stolz L, Valenzuela J, Situ-LaCasse E, et al. Clinical and historical features of emergency department patients with pericardial effusions[J]. World J Emerg Med, 2017, 8(1): 29-33. DOI:10.5847/wjem.j.1920–8642.2017.01.005 |
| [19] | Pan C, Huang XR, Pang JJ, et al. Trends in mortality of emergency departments patients in China[J]. World J Emerg Med, 2019, 10(3): 152-155. DOI:10.5847/wjem.j.1920-8642.2019.03.004 |
| [20] | López-Sendón J, González A, López de Sá E, et al. Diagnosis of subacute ventricular wall rupture after acute myocardial infarction: sensitivity and specificity of clinical, hemodynamic and echocardiographic criteria.[J]. J Am Coll Cardiol. 1992 May; 19(6): 1145-53. DOI: 10.1016/0735-1097(92)90315-e. |
| [21] | Morrondo P, Artaetxeberria JJ, Eguibar I. Intramyocardial dissecting hematoma following myocardial infarction.[J]. Rev Esp Cardiol (Engl Ed). 2014 Sep; 67(9): 765. DOI: 10.1016/j.rec.2013.11.020. |
| [22] | 谷孝艳, 何怡华, 栾妹蓉, 等. 室间隔夹层瘤的超声心动图特征及病因分析[J]. 中华超声影像学杂志, 2015, 24(11): 932-935. DOI:10.3760/cma.j.issn.1004—4477.2015.11.004 |
| [23] | 刘宏强, 王义成, 马力丰, 等. 急性心肌梗死后心肌夹层超声诊断误诊漏诊原因分析[J]. 临床心血管病杂志, 2017, 33(11): 1048-1050. DOI:10.13201/j.issn.1001-1439.2017.11.006 |
2020, Vol. 29

