2 恩施市疾病预防控制中心, 445000
2 Enshi Centers for Diseases Control and Prevention Enshi 445800, Hubei
恩施土家族苗族自治州是湖北省唯一的少数民族自治州,地处湖北省西南部,武陵山北部,因天然富硒,享有“世界硒都”美称。以土家族、苗族等少数民族为主的农村人口占绝大部分,外出务工青中年人数较多,医疗卫生资源分布相对不均衡。2019年12月,湖北武汉出现了与2019-新型冠状病毒(2019-nCoV)相关的肺炎,并迅速扩散至周边城市及全国。恩施作为湖北省内的少数民族聚居地,针对本次疫情防控高度重视。本文搜集了本地区2020年1月23日—2月1日确诊的新型冠状病毒(2019-nCoV)肺炎患者66例,现就此病的流行病学特征、临床诊治及转归等进行初步分析,以期能指导本地区疫情防控工作。
1 资料与方法 1.1 一般资料2020年1月23日至2月1日本地区确诊的新型冠状病毒(2019-nCoV)肺炎患者66例。
1.2 研究方法将患者的临床症状、体征、实验室检查、胸部CT扫描检查以及治疗转归作为观察指标。所有患者均于抗微生物治疗前采集血常规、动脉血气分析、血沉、C-反应蛋白、降钙素原、血生化等,尿液和粪便标本分别收集在无菌标本容器中,口咽拭子、鼻咽试子标本用合成纤维拭子收集进行细菌、病毒、真菌等病原学检查,并通过RT-PCR进行2019-nCoV检测。在患者入院时和入院后第3天收集了重复进行的2019-nCoV测试的标本。所有患者均检测甲型和乙型流感病毒抗原,呼吸道病原九项(合胞病毒、副流感病毒、腺病毒、嗜肺军团菌、支原体、衣原体、Q热立克次体等)。所有患者入院时均行胸部螺旋CT检查,并于入院后第3天再次复查胸部螺旋CT检查。所有患者均进行隔离,诊疗标准参照国家医政医管局发布的《新型冠状病毒感染的肺炎诊疗方案(试行第三版)》。
1.3 统计学方法所有数据采用SPSS 20.0统计软件包进行统计分析。计量资料以均数±标准差(Mean±SD)表示,计数资料以百分比方式表示,组间比较采用方差分析。按a=0.05水准,P<0.05,则差异有统计学意义。
2 结果 2.1 患者基本信息及临床表现66例2019-nCoV肺炎患者中,男性35例(53.0%),女性31例(47.0%),患者年龄(46±9)岁。其中汉族38例(57.6%),土家族18例(27.3%),苗族10例(15.1%)。37名(56.1%)患者伴有冠心病、慢性支气管炎、糖尿病、高血压、甲状腺功能减退等慢性疾病,所有患者均有武汉疫区接触史或间接接触史,主要为武汉旅居史。主要临床表现为无诱因的突然发热(37.3℃~38.5℃)66例(100%)、干咳56例(84.8%)、胸闷21例(31.8%)、气短8例(12.1%)、全身乏力23例(34.8%)、肌肉疼痛6例(9.1%)、头痛4例(6.1%)、咽痛13例(19.7%),少数患者伴有鼻塞流涕11例(16.7%)、轻度腹泻5例(7.6%)等症状,6例(9.1%)重症患者和4例(6.1%)危重症患者有呼吸困难。患者的基本信息及临床表现见表 1。
| 项目 | n | % |
| 性别 | ||
| 男 | 35 | 53.0 |
| 女 | 31 | 47.0 |
| 年龄(岁) | ||
| 0~19 | 0 | 0 |
| 20~39 | 7 | 10.6 |
| 40~59 | 40 | 60.6 |
| 60~79 | 19 | 28.8 |
| ≥80 | 0 | 0 |
| 基础疾病 | 37 | 56.1 |
| 冠心病 | 6 | 9.1 |
| 慢性支气管炎 | 12 | 18.2 |
| 糖尿病 | 7 | 10.6 |
| 高血压 | 11 | 16.7 |
| 甲状腺功能减退 | 1 | 1.5 |
| 主要临床表现 | ||
| 发热 | 66 | 100 |
| 干咳 | 56 | 84.8 |
| 胸闷、气短 | 29 | 43.9 |
| 全身乏力 | 23 | 34.8 |
| 肌痛 | 6 | 9.1 |
| 头痛 | 4 | 6.1 |
| 咽痛 | 13 | 19.7 |
| 鼻塞、流涕 | 11 | 16.7 |
| 轻度腹泻 | 5 | 7.6 |
| 呼吸困难 | 10 | 15.2 |
66例患者均有武汉旅居史或间接武汉疫区接触式,全部为输入性病例,本地区不存在原发病例,以轻症患者居多。潜伏期最短只有2.5 d,潜伏期最长达16 d,不过2020年2月20日本地区确诊一例超长潜伏期病例,长达38 d。
2.3 实验室检查51例(77.3%)患者外周血白细胞计数正常或降低,15例(22.7%)患者外周血白细胞升高,58例(87.9%)患者淋巴细胞计数减少或正常,8例(12.1%)患者淋巴细胞计数升高,多数患者CRP及ESR升高,多数患者肝功能、肾功能、电解质均正常范围,10例危重症患者肝酶、心肌酶(特别是CK及CKMB)升高。不同民族患者间相关炎症标记物比较见表 2。56例(84.8%)轻症患者动脉血气分析均无明显异常。66例患者入院时胸部CT扫描均显示呈现单发或多发小斑片影及间质改变,以肺外带明显。66例患者咽拭子和(或)鼻试子标本进行2019-nCoV核酸检测呈阳性,其他病原微生物抗体检测均为阴性或阳性但无临床意义。
| 民族项目 | WBC (4-10)×109/L |
N 1.6-6.3)×109/L |
L (1-4)×109/L |
ESR (0-20)mm/h |
CRP(0-4) mg/L |
| 平均值(SD)/中位数(IQR) | |||||
| 土家 族(n=18) |
7.0/4.2 | 9.0/5.6 | 1.0/0.6 | 46.4/31.0 | 28.1/11.4 |
| 苗族 (n=10) |
6.3/3.9 | 7.9/5.2 | 0.9/0.6 | 38.6/27.1 | 34.6/18.1 |
| 汉族 (n=38) |
11.8/7.7 | 11.4/8.8 | 0.8/0.5 | 60.9/40.5 | 71.9/42.0 |
| P | 0.135 | 0.108 | 0.062 | 2.302 | 2.382 |
| 注:数据用n,平均值SD,中位数IQR表示;白细胞WBC,中性粒细胞N,淋巴细胞L,血沉ESR,C-反应蛋白CRP。 | |||||
将表 2中不同民族患者各个炎症标志物采用SNK检验进行两两组间比较:上述5项炎症标记物汉族患者与土家族和苗族患者比较,P < 0.05, 差异有统计学意义,而土家族和苗族患者比较,P > 0.05, 差异无统计学意义。
2.4 治疗及隔离所有患者住院隔离治疗,给予吸氧,盐酸阿比多尔片0.2 g, 3次/d,α-干扰素500万U雾化吸入2次/d,克力芝2片, 2次/d,甲强龙40 mg/12 h×2 d、甲强龙20 mg/12 h×2 d、甲强龙20 mg×3 d,痰热清20 mL,静点, 1次/d,根据血象和PCT等感染标志物决定用或不用抗细菌治疗,并辅以本地区道地中药治疗(清肺排毒汤、肺炎1号颗粒),6例(9.1%)重症患者和4例(6.1%)危重症患者使用无创或有创呼吸机治疗。
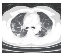
2.5 胸部CT结果入院时,为所有患者进行了胸部螺旋CT检查,47例(71.2%)患者表现为双侧多发性斑片样和磨玻璃样混浊,典型影像学表现见图 1,19例(28.8%)患者表现为单侧肺炎,典型影像学表现见图 2。
|
| 图 1 双肺感染 Fig 1 Bilateral lung infection |
|
|
|
| 图 2 单肺感染 Fig 2 Single lung infection |
|
|
在入院治疗3 d后,再次对所有患者复查了胸部螺旋CT。39例(59.1%)患者肺部感染灶有不同程度增多,27例(40.9%)患者肺部感染灶无明显进展。
2.6 危重症病例截止到2020年2月20日本地区累计确诊245例,死亡3例,病死率1.2%,病死率远较省内其他地方低,最先确诊的66例患者死亡2例,出院18例,38例轻症患者病情稳定,无明显进展,6例重症患者病情加重,肺部感染灶明显增加,需要有创机械通气维持氧合,2例危重症患者病情进展为急性呼吸窘迫综合征(ARDS)并多器官功能衰竭(心、肝、肾、凝血系统),呈顽固性低氧血症,估计预后不佳。调查发现,病情进展迅速的10例危重患者都存在延迟就诊,其发病到就诊时间均大于4 d。死亡病例均为汉族病例,土家族和苗族患者无死亡及危重病例。
3 讨论冠状病毒归类于冠状病毒科,其α和β冠状病毒仅感染哺乳类动物,主要引起动物与人的呼吸道和肠道感染[1]。4种冠状病毒(HCoV- NL63, HCoV-229E, HCoV- OC43和HKU1)常引起免疫低下者的一般性呼吸道感染,也可引起婴儿、老年人发生严重的呼吸道感染,而SARS-CoV和MERS-CoV可感染下呼吸道并引起严重的呼吸综合征[2]。SARS-CoV通过感染肺上皮细胞、巨噬细胞等诱导促炎因子水平高表达从而导致人传人的严重急性呼吸道综合征(SARS),于2002-2003年在我国及全世界30多个国家大规模流行。2012年MERS- CoV流行于中东国家,并散发于韩国、中国等地区,引发中东呼吸道综合征[3-4]。
2019年12月,由新型冠状病毒(2019-nCoV)感染导致的肺炎首发于湖北武汉[5-6]。研究者在患者体内检测到2019-nCoV的存在,并成功从感染者气道上皮细胞中分离出该病毒颗粒,随后命名为2019-nCoV[2]。2019-nCoV属于β属的新型冠状病毒,为包含单股正链RNA的包膜病毒,新型冠状病毒一般呈球形,病毒颗粒的棘突使病毒呈现日冕状,被纳入感染人类的冠状病毒家族的第七个成员[7], 可以导致呼吸道、肠道、肝脏和神经系统疾病。2019-nCoV入侵机体后平均潜伏期为5.2 d, 钟南山团队通过对1 099例新冠患者分析报告显示COVID-19中位潜伏期为3.0 d,潜伏期最短时间为0 d,最长可达24 d,而恩施地区一例新冠肺炎患者最长潜伏期达38 d。研究显示,新冠肺炎R0高达3.77,相较于SARS在人与人之间具有更强的传染性[8]。血管紧张素转换酶2 (angiotensin-converting enzyme 2,ACE2),作为新型冠状病毒的受体,在肺、心脏、肾脏和肠道等广泛存在,冠状病毒的S蛋白(spike glycoprotein)与人体ACE2蛋白的结合是新型冠状病毒感染人体细胞的关键,由于ACE2与新型冠状病毒S蛋白的亲合力较SARS高,2019-nCoV感染导致的新冠肺炎死亡人数已经超过SARS和MERS的总数[9-10]。截止目前为止,本地区累积确诊病例达245例,死亡3例,发病率和病死率较省内其他地区低。目前为止2019-nCoV的起源仍有待进一步研究。
有证据表明由2019-nCoV所引起的症状似乎与严重急性呼吸道综合征(SARS)类似,存在人与人传播及跨城市传播[11],其中主要包括呼吸道飞沫传播、间接接触传播、气溶胶传播。美国首例肺炎报道显示患者粪便和两个呼吸道标本检测为2019-nCoV阳性,而血清仍为阴性,因此粪口传播也应该为其传播方式之一,但该传播方式的重要性尚未达成共识[12]。有报道显示,新生儿出生30个h后确诊为2019-nCoV肺炎,然而张元珍等在其研究中通过回顾性分析9名确诊孕妇的临床特征分析,表明尚无证据证实可发生垂直传播[13]。本地区的66例患者均考虑为飞沫、接触传播,尚无孕妇感染患者。
在恩施地区66例2019-nCoV肺炎患者中,患者年龄跨度为28~75岁,其中40岁以上人群约占90%。本研究中2019-nCoV感染的患者中男性患者多于女性,可能与恩施地区外出人员结构男性多于女性,多以青中年为主有关,另有研究认为与女性X染色体和性激素的保护性作用有关,使女性对病毒感染的敏感性降低[14]。本研究中新冠肺炎患者年龄及性别分布特征与之前报道一致[15-18]。纳入本研究的66例确诊患者中有50例(75.8%)在发病前半月内有武汉旅居史,16例(24.2%)患者有与确诊患者接触史或武汉返乡人士接触史。新冠肺炎患者全国病死率达2.38%,武汉市病死率达4.05%,据恩施地区统计数据显示该地病死率约1.6%,所有重症患者和危重患者以及死亡患者既往均有慢性基础疾病,免疫功能相对较弱,研究显示慢性合并症的老年男性特别是癌症患者拥有更高的感染风险,可能由于其免疫功能较弱,因此在临床上常表现为重型肺炎,拥有更高的病死率,预后较差[16, 19-20],与本研究结果相符。
目前尚无针对新型冠状病毒性肺炎的特效药,所有患者均以支持治疗为主。但在抑制新型冠状病毒(2019-nCoV)药物筛选方面已取得重要进展。美国首例肺炎报道显示该患者静脉注射瑞德西韦(Remdesivir)后第2日,患者临床症状得到改善,同时氧饱和度提高到94%~96%,且双下肺的水泡音消失[12],目前瑞德西韦已在武汉开展大规模临床试验。研究显示瑞德西韦、磷酸氯喹(Chloroquine)在细胞水平上能有效抑制2019-nCoV的感染,然而有待临床验证[21]。抗HIV药物克力芝(Kaletra)对2019-nCoV肺炎有治疗作用,但如何治疗冠状病毒的机制尚不清楚。本研究66例2019-nCoV肺炎患者均给予吸氧或间断无创通气,盐酸阿比多尔片0.2 g, 3次/d,α-干扰素500万U雾化吸入bid,克力芝2片, 2次/d,甲强龙40 mg/12 h×2 d、甲强龙20 mg/12 h×2 d、甲强龙20 mg×3 d,痰热清20 mL,静点, 1次/d,根据血象和PCT等感染标志物决定用或不用抗细菌治疗,并辅以本地区道地中药治疗(清肺排毒汤、肺炎1号颗粒),6例(9.1%)重症患者和4例(6.1%)危重症患者使用无创或有创呼吸机治疗。截止目前已有18位患者病情好转,核酸连续两次转阴出院,38例轻症患者病情稳定,无明显进展,证实上述治疗方案对轻症患者效果佳。
淋巴细胞绝对值降低是新冠肺炎患者的重要表现之一[15-18],这与本研结果相一致。目前对于2019-nCoV的致病机制尚未明确,研究显示冠状病毒入侵宿主后,通过诱发炎症因子风暴介导过度的免疫反应,导致包括淋巴细胞在内的免疫细胞被大量消耗,从而抑制了人体的细胞免疫功能[18, 22]。另外首例对新冠肺炎死亡患者病理解剖显示,外周血CD4+T、CD8+T细胞在减少的同时被过度激活,CD4+T细胞中具有高度促炎效应的细胞增加,一定程度上解释了严重的免疫损伤,由此推测T淋巴细胞受损或成为推进患者病情恶化的主要原因[23]。本研究中10例病重患者外周血淋巴细胞均大幅减少,这或许论证了细胞因子风暴参与2019-nCoV致病的机制,而淋巴细胞绝对值降低的程度与病情严重程度正相关。另外本研究中发现本地区轻症患者居多,总体病死率远较省内其他地方低。虽然该地区少数民族居民占总人口近50%,但是少数民族患者发病率远较汉族患者低,且少数民族患者病死率及危重症发病率均明显低于汉族患者,3例死亡患者、10例危重患者均是汉族患者。其中少数民族与汉族患者白细胞、淋巴细胞等炎症标志物具有显著差异性。这些差异考虑除与当地各级政府防控有力外,还与当地地域环境、人口种族、少数民族饮食生活习惯等因素相关。另外恩施地区天然富硒,而硒元素是帮助机体抗炎、抗氧化、提升机体免疫力的重要微量元素,这些差异是否与之相关?笔者正在设计相关课题,拟在这方面作进一步研究。
综上所述,恩施地区所有病例均为输入性病例,以武汉返乡的务工人员及旅居者为主,疫情防控工作应作力全面筛查武汉返乡人士及相关近距离接触者。有研究显示2019-nCoV患者甚至是无症状患者的病毒载量在发病早期更高,提示了早期就可传播的可能性[24],因此根据本地居民特征,控制感染源,早诊断早治疗,并做好隔离,积极健康宣教,倡导良好生活习惯,佩戴口罩,洗手消毒,避免人口聚集将有助于防止疫情蔓延。
利益冲突 所有作者均声明不存在利益冲突
| [1] | Chen Y, Liu QY, Guo DY. Emerging coronaviruses: Genome structure, replication, and pathogenesis[J]. J Med Virol, 2020, 92(4): 418-423. DOI:10.1002/jmv.25681 |
| [2] | Zhu N, Zhang DY, Wang WL, et al. A novel coronavirus from patients with pneumonia in China, 2019[J]. N Engl J Med, 2020, 382(8): 727-733. DOI:10.1056/nejmoa2001017 |
| [3] | Hu B, Zeng LP, Yang XL, et al. Discovery of a rich gene pool of bat SARS-related coronaviruses provides new insights into the origin of SARS coronavirus[J]. PLoS Pathog, 2017, 13(11): e1006698.. DOI:10.1371/journal.ppat.1006698 |
| [4] | Haagmans BL, Al Dhahiry SHS, Reusken CBEM, et al. Middle East respiratory syndrome coronavirus in dromedary camels: an outbreak investigation[J]. Lancet Infect Dis, 2014, 14(2): 140-145. DOI:10.1016/s1473-3099(13)70690-x |
| [5] | Li Q, Guan XH, Wu P, et al. Early transmission dynamics in Wuhan, China, of novel coronavirus-infected pneumonia[J]. N Engl J Med, 2020, 382(13). DOI:10.1056/NEJMoa2001316 |
| [6] | Lu HZ, Stratton CW, Tang YW. Outbreak of pneumonia of unknown etiology in Wuhan, China: The mystery and the miracle[J]. J Med Virol, 2020, 92(4): 401-402. DOI:10.1002/jmv.25678 |
| [7] | Xu XT, Chen P, Wang JF, et al. Evolution of the novel coronavirus from the ongoing Wuhan outbreak and modeling of its spike protein for risk of human transmission[J]. Sci China Life Sci, 2020, 63(3): 457-460. DOI:10.1007/s11427-020-1637-5 |
| [8] | Chen N, Zhou M, Dong X, et al. Epidemiological and clinical features of the 2019 novel coronavirus outbreak in China[J]. Lancet, 2020, 395(10223): 507-513. DOI:10.1016/S0140-6736(20)30211-7 |
| [9] | Yan RH, Zhang YY, Guo YY, et al. Structural basis for the recognition of the 2019-nCoV by human ACE2[J]. bioRxiv, 2020. |
| [10] | Wrapp D, Wang N, Corbett KS, et al. Cryo-EM Structure of the 2019-nCoV Spike in the Prefusion Conformation[J]. bioRxiv, 2020, 367(6483): 1260-1263. DOI:10.1126/science.abb2507 |
| [11] | Jasper FW, Yuan SF, Kok KH, et al. A familial cluster of pneumonia associated with the 2019 novel coronavirus indicating person-to-person transmission: a study of a family cluster[J]. Lancet, 2020, 395(10223): 514-523. DOI:10.1016/s0140-6736(20)30154-9 |
| [12] | Holshue ML, DeBolt C, Lindquist S, et al. First case of 2019 novel coronavirus in the United States[J]. N Engl J Med, 2020, 382(10): 929-936. DOI:10.1056/nejmoa2001191 |
| [13] | Chen HJ, Guo JJ, Wang C, et al. Clinical characteristics and intrauterine vertical transmission potential of COVID-19 infection in nine pregnant women: a retrospective review of medical records[J]. Lancet, 2020, 395(10226): 809-815. DOI:10.1016/s0140-6736(20)30360-3 |
| [14] | Jaillon S, Berthenet K, Garlanda C. Sexual dimorphism in innate immunity[J]. Clinic Rev Allerg Immunol, 2019, 56(3): 308-321. DOI:10.1007/s12016-017-8648-x |
| [15] | Wang DW, Hu B, Hu C, et al. Clinical characteristics of 138 hospitalized patients with 2019 novel coronavirus–infected pneumonia in Wuhan, China[J]. JAMA, 2020, 323(11): 1061. DOI:10.1001/jama.2020.1585 |
| [16] | Chen NS, Zhou M, Dong X, et al. Epidemiological and clinical characteristics of 99 cases of 2019 novel coronavirus pneumonia in Wuhan, China: a descriptive study[J]. Lancet, 2020, 395(10223): 507-513. DOI:10.1016/s0140-6736(20)30211-7 |
| [17] | Xu XW, Wu XX, Jiang XG, et al. Clinical findings in a group of patients infected with the 2019 novel coronavirus (SARS-Cov-2) outside of Wuhan, China: retrospective case series[J]. BMJ, 2020: m792. DOI:10.1136/bmj.m606 |
| [18] | Huang CL, Wang YM, Li XW, et al. Clinical features of patients infected with 2019 novel coronavirus in Wuhan, China[J]. Lancet, 2020, 395(10223): 497-506. DOI:10.1016/s0140-6736(20)30183-5 |
| [19] | Dryden M, Baguneid M, Eckmann C, et al. Pathophysiology and burden of infection in patients with diabetes mellitus and peripheral vascular disease: focus on skin and soft-tissue infections[J]. Clin Microbiol Infect, 2015, 21: S27-S32. DOI:10.1016/j.cmi.2015.03.024 |
| [20] | Liang WH, Guan WJ, Chen RC, et al. Cancer patients in SARS-CoV-2 infection: a nationwide analysis in China[J]. Lancet Oncol, 2020, 21(3): 335-337. DOI:10.1016/s1470-2045(20)30096-6 |
| [21] | Wang ML, Cao RY, Zhang LK, et al. Remdesivir and chloroquine effectively inhibit the recently emerged novel coronavirus (2019-nCoV) in vitro[J]. Cell Res, 2020, 30(3): 269-271. DOI:10.1038/s41422-020-0282-0 |
| [22] | Liu WJ, Zhao M, Liu KF, et al. T-cell immunity of SARS-CoV: Implications for vaccine development against MERS-CoV[J]. Antivir Res, 2017, 137: 82-92. DOI:10.1016/j.antiviral.2016.11.006 |
| [23] | Xu Z, Shi L, Wang YJ, et al. Pathological findings of COVID-19 associated with acute respiratory distress syndrome[J]. Lancet Respir Med, 2020. DOI:10.1016/s2213-2600(20)30076-x |
| [24] | Zou LR, Ruan F, Huang MX, et al. SARS-CoV-2 viral load in upper respiratory specimens of infected patients[J]. N Engl J Med, 2020, 382(12): 1177-1179. DOI:10.1056/nejmc2001737 |
2020, Vol. 29

