2 上海交通大学附属第六人民医院急诊科 200233
2 Emergency Department, Shanghai Jiaotong University Affiliated Sixth People's Hospital, Shanghai 200233, China
截至2020年2月2日7时,国家卫生健康委员会累计报告全国新型冠状病毒肺炎(COVID-19)患者13 846例,已治愈出院326例,死亡304例,累计报告疑似病例17 988例[1]。目前亦有相关文献研究报道[2-5]。上海市卫生健康委员会官网2月1日12时公布,上海的COVID-19患者169例,已治愈出院10例,死亡1例。现将上海市第六人民医院及金山分院收治的10例确诊COVID-19、14例排除COVID-19患者的临床特征及影像学表现进行分析总结。
1 资料与方法 1.1 一般资料收集上海交通大学附属第六人民医院及其金山分院2020年1月1日至2月3日收治的10例COVID-19、14例排除COVID-19患者,对确诊病例及疑似病例的临床特征以及影像学改变进行分析。纳入标准:根据《新型冠状病毒感染的肺炎诊疗方案(试行第4版)》[6-7],同时符合以下2条即可定义为疑似病例:(1)流行病学史,①发病前14 d内有武汉地区或其他有本地病例持续传播地区的旅行史或居住史。②发病前14 d内曾接触过来自武汉市或其他有本地病例持续传播地区的发热或有呼吸道症状的患者。③有聚集性发病或与新型冠状病毒感染者有流行病学关联。(2)临床表现,①发热;②具有典型肺炎影像学特征;③发病早期白细胞总数正常或降低,或淋巴细胞计数减少。确诊病例:符合疑似病例标准的基础上,痰液、咽拭子、下呼吸道分泌物等标本行实时荧光RT-PCR检测新型冠状病毒核酸阳性;或病毒基因测序,与已知的新型冠状病毒高度同源(送上海市疾控中心进行检测)。排除病例:新型冠状病毒核酸检测阴性。
确诊病例10例,男性5例,女性5例,年龄24~65岁,1例合并慢性肾炎,9例无慢性疾病。排除病例14例,年龄18~65岁,其中男性9例,女性5例,1例合并高血压,其余均无慢性疾病。
1.2 研究方法所有发热门诊或急诊疑似患者立即予血常规、血气分析、甲型流感、乙型流感、疱疹病毒等检测及行胸部CT后收入感染科隔离病房进行新型冠状病毒核酸检验,根据有无感染新型冠状病毒分成确诊COVID-19组(确诊组)及排除COVID-19组(排除组),分析两组患者流行病学史、可能接触至发病时间、年龄及性别分布、临床症状、实验室检查以及影像学改变。
2 结果 2.1 两组患者临床情况分析本组纳入的24例患者早期均为轻症,血气分析正常。10例确诊患者,男性5例, 均有发热、乏力,体温37.5~38.5 ℃,4例有干咳。其中2例患者无明确疫区流行病接触史,但其中一例男性患者在发病前2周,因妻子住院陪护有每天往返大型医院、超市史;另一例女性患者有菜场买菜史。其余8例有赴疫区或确诊患者接触史,接触至发病时间为1~10 d。
14例排除COVID-19患者中有一例无明确疫区流行病学史,其余13例均有疫区流行病学史或密切接触史,流行病接触至发病时间为1~13 d,其中发热12例,体温 > 38.5 ℃ 4例,体温37.3~38.5 ℃ 8例, 无发热症状2例;乏力症状14例,干咳症状7例, 胸痛症状2例,气急1例。所有患者无流涕、咳痰、腹泻,见表 1。
| 临床资料 | 确诊组 (n=10) |
排除组 (n=14) |
| 接触至发病时间 | ||
| < 3 d | 2 | 4 |
| 3~5 d | 2 | 2 |
| 5~10 d | 4 | 7 |
| 10~14 d | 0 | 1 |
| 无明确接触史 | 2 | 0 |
| 发热 | ||
| < 37.3 ℃ | 0 | 2 |
| 37.3~38.5 ℃ | 10 | 8 |
| > 38.5 ℃ | 0 | 4 |
| 乏力 | 10 | 14 |
| 肌肉酸痛 | 4 | 2 |
| 干咳 | 4 | 7 |
| 胸痛 | 0 | 2 |
| 气急 | 0 | 1 |
| 咽痛 | 0 | 1 |
| 鼻塞 | 1 | 0 |
14例排除COVID-19患者中甲型流感病毒感染4例,乙型流感病毒感染4例,柯萨奇病毒感染4例,病因不明2例。
2.2 两组患者影像学改变分析10例确诊患者影像学改变:有磨玻璃影(9例),病灶可为单侧(1例)或者双侧且(9例)病灶贴近胸膜为主(9例),有结节影(1例),无坏死灶出现,可合并有胸腔积液(1例)。
14例排除患者影像学改变:4例患者出现磨玻璃影,病灶10例为单侧,4例为双侧,1例结节影。且病灶较散发,无坏死灶出现,无胸腔积液,见表 2。
| CT影像学特点 | 确诊组 (n=10) |
排除组 (n=14) |
| 病变部位 | ||
| 肺门 | 1 | 1 |
| 肺部周围 | 8 | 8 |
| 胸膜下 | 9 | 3 |
| 多发病变 | 9 | 4 |
| 特点 | ||
| 磨玻璃影 | 9 | 5 |
| 实变 | 0 | 4 |
| 结节 | 1 | 3 |
| 胸腔积液 | 1 | 0 |
| 病变占全肺面积 | ||
| < 30% | 10 | 14 |
|
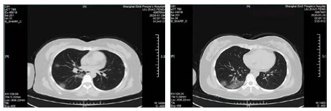
| 图 1 病例1,男性,65岁,沪籍,否认武汉流行病学接触史,发病前2周内每天有大型医院陪护史及疲劳史,既往体健,发热1 d入院,体温38.5℃,无咳嗽症状,无鼻塞,流涕,血白细胞总数及淋巴计数正常,甲乙型流感病毒筛查阴性,新型冠状病毒核酸检测阳性。肺部CT提示双肺多发磨玻璃结节,病灶贴近胸膜,局部小叶间隔增厚,炎症沿支气管血管走向分布,散在小结节影及纤维条索影 Fig 1 Case 1, male, 65 years old, born in Shanghai, denied the history of epidemic exposure of Wuhan. He had a history of accompanying in hospital every day and fatigue in the first two weeks before the onset of the disease. He was hospitalized one day after the onset of fever, with a body temperature of 38.5 ℃, no cough, no nasal obstruction and runny nose, normal WBC and lymph count, negative influenza A and B virus screening, and positive novel coronavirus nucleic acid test. Lung CT showed multiple ground glass nodules in both lungs. The focus was close to pleura, the interlobular septum was thickened, the inflammation distributed along the direction of bronchi and blood vessels, scattered in small nodule shadow and fibrous cord shadow |
|
|
|
| 图 2 患者,女性,64岁,武汉籍,发病前1 d由武汉自驾车入沪,出现发热,体温39.9℃, 伴全身乏力,无咳嗽症状,无鼻塞,流涕症状,血白细胞总数及淋巴计数正常,甲乙型流感病毒筛查阴性,新型冠状病毒核酸检测阳性,肺部CT双肺多发磨玻璃结节,部分贴近胸膜,左肺有少量胸腔积液,局部小叶间隔增厚, 可见纤维条索影 Fig 2 Case 2, female, 64 years old, born in Wuhan. One day before the onset of the disease, she drove into Shanghai from Wuhan and had fever. Her body temperature was 39.9℃, with general asthenia, no cough, no nasal obstruction and running nose, normal WBC and lymphoid count, negative influenza A and B virus screening, positive novel coronavirus nucleic acid test. Lung CT showed multiple ground glass nodules, some of which were close to pleura, a small amount of pleural effusion in the left lung, and local interlobular septa was thickened, with visible fibrous streak shadow |
|
|
|
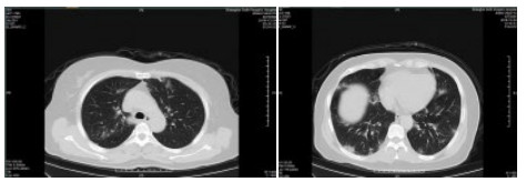
| 图 3 患者,女性,49岁,沪籍,发热10 d,体温最高38.5℃,伴乏力,肌肉酸痛,既往体健。否认武汉流行病学接触史,有菜场买菜史。血白细胞总数及淋巴计数正常,甲型、乙型流感筛查阴性,新型冠状病毒核酸检测阳性。肺部CT提示双肺磨玻璃结节,可见血管充血,增粗,穿行,部分贴近胸膜,伴小叶间隔增厚 Fig 3 Case 3, female, 49 years old, born in Shanghai, had fever for 10 days, body temperature 38.5℃, with fatigue, muscle pain, previous physical fitness. She denied the history of epidemic exposure of Wuhan, but had the history of shopping in market. Normal WBC and lymphoid count, negative influenza A and B virus screening, positive novel coronavirus nucleic acid test. Lung CT showed bilateral ground glass nodules with hyperemia, thickening and passage of blood vessels. Some were close to pleura with thickening of interlobular septum |
|
|
|
| 图 4 患者,男性,59岁,湖北籍,春节回乡探亲返沪,发热2 d入院,体温37.8℃, 乏力,既往体健。血白细胞总数及淋巴计数正常,甲型、乙型流感筛查阴性,新型冠状病毒核酸检测阳性。肺部CT提示双肺多发磨玻璃结节,病灶贴近胸膜伴支气管充气征及血管充血、增粗,可见部分纤维条索影 Fig 4 Case 4, male, 59 years old, born in Hubei Province, returned to Shanghai during the Spring Festival. He was hospitalized 2 days after fever, with a body temperature of 37.8℃ with fatigue. Normal WBC and lymphoid count, negative influenza A and B virus screening, positive novel coronavirus nucleic acid test. Lung CT showed multiple ground glass nodules in both lungs. The focus was close to the pleura, accompanied by bronchiectasis, hyperemia and thickening of blood vessels. Some fibrous bands could be seen |
|
|
|
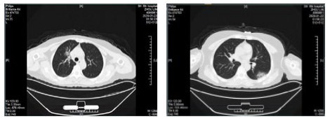
| 图 5 患者,女性,44岁,沪籍,发病前10 d内有与确诊NCP患者接触史。出现发热,体温38.5℃,乏力,伴肌肉酸痛,既往体健。血白细胞总数及淋巴计数正常,甲型、乙型流感筛查阴性,新型冠状病毒核酸检测阳性。肺部CT提示双肺多发磨玻璃结节,病灶贴近胸膜伴支气管充气征及病变内血管充血、增粗 Fig 5 Case 5, female, 44 years old, born in Shanghai, had contact history with NCP patients within 10 days before the onset of the disease. Her body temperature was 38.5℃, with fatigue, muscle ache, previous physical fitness. Normal WBC and lymphoid count, negative influenza A and B virus screening, and positive novel coronavirus nucleic acid test. Lung CT showed multiple ground glass nodules in both lungs. The lesions were close to the pleura with bronchiectasis and congestion and thickening of blood vessels in the lesions |
|
|
|
| 图 6 患者,女性,55岁,既往体健,沪籍,无明确武汉流行病学接触史。发热6 d,伴咳嗽,体温39.4℃,伴肌肉酸痛,流感病毒A型IgM阳性,抗柯萨奇病毒IgM阳性,新型冠状病毒核酸检测阴性。肺部CT提示双肺散在磨玻璃结节,部分贴近胸膜。诊断甲型流感病毒性肺炎 Fig 6 Case 6, female, 55 years old, born in Shanghai, was physically healthy, and had no clear history of epidemic exposure of Wuhan. She had fever for 6 days, body temperature was 39.4 ℃, with cough, muscle ache, positive influenza A IgM and anti Coxsackie IgM, negative novel coronavirus nucleic acid test. Lung CT showed ground glass nodules were scattered in bilateral lungs, some of which were close to pleura. She was diagnosed as influenza A virus pneumonia |
|
|
|
| 图 7 患者,女性,36岁,沪籍,有武汉流行病学接触史。发热8 d伴咳嗽,咳痰,有头胀痛,体温38.5℃, 白细胞总数21.8×109/L,淋巴细胞计数10.4%,甲型流感筛查阴性,流感病毒B型IgM阳性,新型冠状病毒核酸检测2次阴性。肺部CT提示双肺多发团片影,实变及磨玻璃结节,伴支气管充气征。诊断乙型流感病毒性肺炎 Fig 7 Case 7, female, 36 years old, born in Shanghai, with a history of epidemic exposure of Wuhan. She had fever for 8 days with cough, expectoration, head pain, body temperature of 38.5℃, total white blood cells of 21.8×109/L, lymphocyte count of 10.4%, negative influenza A virus screening, positive influenza B IgM, and negative novel coronavirus nucleic acid test for twice. Lung CT showed multiple mass shadows, consolidation and ground glass nodule in both lungs, accompanied by bronchiectasis. She was diagnosed as influenza B pneumonia |
|
|
|
| 图 8 患者,男性,20岁,湖北籍,发病前6 d有武汉流行病学接触史,发热,体温39.3℃,有干咳,血白细胞总数及淋巴计数正常,甲型、乙型流感病毒抗原筛查阴性以及其他呼吸道常规病毒筛查阴性,新型冠状病毒核酸检测2次阴性。肺部CT提示左下肺磨玻璃结节,贴近胸膜,可见铺路石征,小叶间胸膜增厚。病因不明 Fig 8 Case 8, male, 20 years old, born in Hubei Province, had a history of epidemic exposure of Wuhan 6 days before the onset of the disease. He had fever with a body temperature of 39.3 ℃, dry cough, normal WBC and lymph count, negative influenza A and B virus screening, and other routine respiratory virus screening, negative novel coronavirus nucleic acid test for twice. Lung CT showed ground glass nodule of the lower left lung, close to the pleura, with paving stone sign and thickening of interlobular pleura. Unknown etiology |
|
|
本研究中10例COVID-19患者中8例有武汉流行病学接触史,有2例无明确流行病学接触史,其中一例患者由于家人住院,发病前2周每天往返于某大医院、超市,不除外有不知情接触COVID-19患者的可能;另外一例亦无明确的流行病学史,有每天菜场超市购物史,不排除在公共场合感染可能[8]。发病初期COVID-19均为轻症患者,仅有一例患者有慢性肾炎病史,其余患者均无基础疾病。患者年龄24~65岁,属于青中年人,日常活动范围大。COVID-19临床症状不典型[9],高热起病者少,无基础疾病者一般临床表现多为中度发热、干咳、乏力,较少有鼻塞、流涕、打喷嚏、咽痛等上呼吸道感染症状[10]。
排除组14例病毒性肺炎患者,亦均有明确流行病学史,除1例患者有高血压外,均无基础疾病,年龄18~65岁,与确诊组相比无明显差别,临床病史特点亦无特殊。影像学特点分析,均具病毒性肺炎的影像学特点[11-14],可有磨玻璃影,病灶可累及单侧及双侧,病灶贴近胸膜等。影像学特征均符合病毒性肺炎特征,不同病毒引起的肺炎影像学上很难区分。因此新型冠状病毒核酸检测是确诊的关键之一。14例排除组患者给出两点提示:一是可能接触到了确诊患者,但由于个人防护较好,未被传染;二是虽然有流行病史,但没有直接接触到COVID-19患者呼吸道分泌物。有报道称,新型冠状病毒肺炎患者可有腹泻症状,且在粪便中检测到新型冠状病毒,本组患者未观察到此现象。
综上所述,本研究发现COVID-19患者并非要有直接的流行病学史。在大型医院,特别是有发热患者的医院频繁活动也有可能在不知情的情况下被感染。虽然没有接触COVID-19患者也要高度防护。从CT影像学上看COVID-19并没有有别于其他病毒性肺炎的特殊表现。新型冠状病毒并非只感染老弱病者,本组患者中年人更多见,这可能与中年人活动范围更大、旅行、工作接触人员更多有关。
利益冲突 所有作者均声明不存在利益冲突
| [1] | 武汉市卫生健康委员会.武汉市卫健委关于当前我市肺炎疫情的情况通报.[EB/OL].http://wjw.wuhan.gov.cn/front/web/showDetail/2019123108989. |
| [2] | Huang C, Wang Y, Li X, et al. Clinical features of patients infected with 2019 novel coronavirus in Wuhan, China[J]. Lancet, 2020 Jan 24. DOI: 10.1016/S0140-6736(20)30183-5.[Epub ahead of print] |
| [3] | Chan JF, Yuan S, Kok KH, et al. A familial cluster of pneumonia associated with the 2019 novel coronavirus indicating person-to-person transmission: a study of a family cluster[J]. Lancet, 2020 Jan 24. DOI: 10.1016/S0140-6736(20)30154-9.[Epub ahead of print] |
| [4] | Li Q, Guan X, Wu P, et al. Early transmission dynamics in wuhan, china, of novel coronavirus-infected pneumonia[J]. N Engl J Med, 2020 Jan 29. DOI: 10.1056/NEJMoa2001316.[Epub ahead of print] |
| [5] | Zhu N, Zhang D, Wang W, et al China novel coronavirus investigating and research team. a novel coronavirus from patients with pneumonia in China, 2019[J]. N Engl J Med, 2020 Jan 24. DOI: 10.1056/NEJMoa2001017.[Epub ahead of print] |
| [6] | 李太生, 曹玮, 翁利, 等.北京协和医院关于"新型冠状病毒感染的肺炎"诊疗建议方案(V2.0)[J].协和医学杂志, 2020, 11.DOI: 10.3969/j.issn.1674-9081.20200022.[提前在线发表] |
| [7] | 国家卫生健康委员会办公厅.关于印发新型冠状病毒感染肺炎诊疗方案(试行第四版)[EB/OL].http://www.nhc.gov.cn/jkj/s3577/202002/573340613ab243b3a7f61df260551dd4/files/c791e5a7ea5149f680fdcb34dac0f54e.pdf. |
| [8] | 曾志笠, 朱蒙曼, 袁辉, 等. 江西泰和县一起人感染H7N9禽流感家庭聚集性疫情调查[J]. 中华疾病控制杂志, 2017, 21(4): 428-430. DOI:10.16462/j.cnki.zhjbkz.2017.04.026 |
| [9] | 许可, 霍翔, 戴启刚, 等. 流感肺炎的流行病学和临床特征及其重症影响因素分析[J]. 病毒学报, 2018, 34(6): 810-816. DOI:10.13242/j.cnki.bingduxuebao.003461 |
| [10] | 中国医师协会急诊医师分会, 中华医学会急诊医学分会, 中国人民解放军急救医学专业委员会, 等. 中国成人流行性感冒诊疗规范急诊专家共识[J]. 中华急诊医学杂志, 2019, 28(10): 1204-1217. DOI:10.3760/cma.j.issn.1671-0282.2019.10.006 |
| [11] | 高忠博, 苏丽梅, 梁淇星, 等. 人感染H7N9禽流感病毒性肺炎的影像学特征[J]. 深圳中西医结合杂志, 2017, 27(12): 60-61, 199. DOI:10.16458/j.cnki.1007-0893.2017.12.028 |
| [12] | 许少华, 李宏军, 李宁, 等. 人感染H7N9禽流感与甲型H1N1流感重症肺炎的临床及CT影像比较[J]. 放射学实践, 2014, 29(7): 756-759. DOI:10.13609/j.cnki.1000-0313.2014.07.006 |
| [13] | 杨晨, 程冰雪, 周莉, 等. 人感染H7N9禽流感与甲型H1N1肺炎的早期鉴别诊断[J]. 临床放射学杂志, 2018, 9: 1464-1468. DOI:10.13437/j.cnki.jcr.2018.09.013 |
| [14] | 杨燕, 郑继坤, 孟娴, 等. 甲型H1N1流感肺炎的多层螺旋CT表现及动态变化观察[J]. 实用医学影像杂志, 2016, 17(4): 325-327. DOI:10.16106/j.cnki.cn14-1281/r.2016.04.018 |
2020, Vol. 29



