2 南京医科大学第一附属医院介入放射科 210029
2 Department of Interventional Radiology, the First Affiliated Hospital of Nanjing Medical University, Nanjing 210029, China
急性缺血性脑卒中(acute ischemic stroke, AIS)发生后,时间窗内进行溶栓治疗是改善患者临床预后的重要手段。侧支循环是维持脑灌注、影响溶栓治疗效果的重要因素,侧支循环状态与患者的预后密切相关[1-2]。多时相CT血管造影(multiphase CT angiography, mCTA)作为一种评估脑侧支循环的微创检查技术,可以有效评估颅内侧支循环的存在及开放程度,成为最新、最有效的血管影像检测方法[2], 但国内外运用mCTA对急性脑卒中患者进行侧支循环评估的相关报道较少。本院自2017年10月起运用mCTA对溶栓时间窗内患者进行侧支评估,并根据其影像结果选择治疗方式,即静脉溶栓、血管内治疗或者桥接治疗。本研究收集了南京医科大学第一附属医院2017年10月至2018年9月期间收治的49例接受静脉溶栓治疗的大脑中动脉(middle cerebral artery, MCA)梗塞患者的临床和影像资料,旨在探讨mCTA提示的侧支循环信息与患者预后的相关性。
1 资料与方法 1.1 一般资料回顾性分析南京医科大学第一附属医院自2017年10月至2018年9月期间收治的急性脑梗塞患者,参考《中国急性缺血性脑卒中诊治指南》[3],共有350例急性脑梗塞患者完成血管再通治疗,其中MCA梗塞溶栓患者病例共49例,单纯静脉溶栓患者23例,桥接治疗26例;按侧支循环状态分组,侧支良好组31例,侧支不良组18例。
定期随访7 d、30 d、90 d,7 d内复查头颅MRI和(或)MRA,24 h和30 d给予美国国立卫生研究院卒中量表(National Institute of Health stroke scale, NIHSS)评分,90 d给予改良Rankin量表(modified rankin scale, mRS)评分。NIHSS评分用于评价脑卒中患者的神经功能缺损程度,mRS评分评价其神经功能恢复状况。
1.2 纳入及排除标准纳入标准:①年龄大于18岁;②发病24 h内;③经头颅mCTA显示MCA梗塞的患者;④CT扫描未见颅内出血;⑤CT显示梗死范围小于1/3大脑中动脉供血区域;⑥有良好的可供评价的影像学资料。排除标准:①仅行血管内治疗而无静脉溶栓;②有介入治疗指征而患方拒绝;③严重的循环、呼吸、肝、肾功能不全;④卒中前已残疾,会干扰90 d时的功能性结局评估,即mRS>2;⑤资料缺失、不全。
1.3 研究方法 1.3.1 影像学参数采用64排螺旋CT(optima 660,GE,美国)行常规CT及头颈部CTA检查。CTA检查:经肘静脉以4~4.5 mL/s团注碘普罗胺370 mg/mL注射液50 mL,而后以20 mL等渗盐水冲管。扫描依据主动脉弓CT值(80 HU)自动触发。扫描范围自主动脉弓下缘至颅顶。扫描参数:层厚0.625 mm,管电压100 kV,管电流480 mA,矩阵512 mm×512 mm。采用FastStroke快速脑卒中分析软件包处理mCTA影像资料。
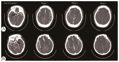
1.3.2 脑侧支循环评估根据Menon等[2]提出的Alberta Stroke Program Early CT Score (ASPECTS)侧支循环六点量表,按头颅mCTA显示的患侧MCA供血区软脑膜吻合支代偿速度及充盈数量,认为ASPECTS侧支循环评分>3分为侧支循环良好,≤3分为侧支循环不良(图 1)。侧支循环评估由工作多年的三位放射科医师采用盲法分别对研究对象的mCTA进行,若有争议以多数意见为准。据此分为侧支良好组和侧支不良组,分别有31例和18例。
|
| A:55岁女性,NIHSS 11分,mCTA显示RMCA闭塞,ASPECTS侧支循环得分为4分,表明侧支循环良好;B:51岁女性,NIHSS 14分,mCTA显示LMCA闭塞,ASPECTS侧支循环得分为2分,表明侧支循环不良 图 1 采用ASPECTS侧支循环六点量表评分法对患者进行侧支水平评估 Fig 1 Assessment of collateral levels in patients using the ASPECTS collateral circulation six-point scale |
|
|
收集并比较两组患者一般资料,包括年龄、性别、基础疾病(高血压、糖尿病、房颤)、入院时NIHSS评分、发病至溶栓时间(OTT)、入院至溶栓时间(DNT)、病死率。比较两组的溶栓获益和风险,包括溶栓后24 h NIHSS评分、90 d mRS评分、溶栓后24 h NIHSS评分改善≥50%发生率、90 d mRS 0~2分发生率及30 d病死率、症状性脑出血发生率。近期预后改善指符合以下标准:24 h NIHSS评分较治疗前降低50%及以上,90 d mRS评分0~2分,否则为预后不良[2]。
1.4 统计学方法采用SPSS 25.0软件进行统计分析,计量资料以均数±标准差(Mean±SD)表示,两组间比较采用成组t检验;计数资料以构成比或率(%)表示,两组间比较用校正χ2检验或Fisher精确检验。以P < 0.05为差异有统计学意义。
2 结果 2.1 一般资料比较两组间年龄、性别、基础疾病、发病至溶栓时间(OTT)差异无统计学意义(P > 0.05),提示两组基线资料具有可比性。而对于介入干预/桥接治疗比率,侧支不良组较侧支良好组明显升高,差异有统计学意义(P < 0.05)(表 1)。
| 参数 | 侧支良好组(n=31) | 侧支不良组(n=18) | t/校正χ2值 | P值 |
| 年龄(岁) | 65.3±11.4 | 64.7±11.4 | 0.159 | 0.875 |
| 男性(例,%) | 17(54.8) | 11(61.1) | 0.183 | 0.669 |
| 病史(例,%) | ||||
| 高血压病 | 21(67.7) | 12(66.6) | 0.006 | 0.938 |
| 糖尿病 | 6(19.4) | 4(22.2) | 0.000 | 1.000 |
| 心房颤动 | 6(19.4) | 4(22.2) | 0.000 | 1.000 |
| 高血压合并糖尿病 | 5(16.1) | 2(11.1) | 0.004 | 0.952 |
| OTT(< 4.5 h/4.5~6 h/6~24 h或醒后) | 29/1/1 | 17/1/0 | 1.063 | 0.588 |
| 介入干预/桥接治疗(例,%) | 11(35.5) | 15(83.3) | 10.468 | 0.001 |
溶栓前NIHSS评分两组间比较差异无统计学意义(P > 0.05),提示两组具有可比性。侧支良好组的溶栓后24 h NIHSS评分、90 d溶栓mRS评分、症状性脑出血发生率明显低于侧支不良组(4.6±5.6)vs(12.5±8.4),(P < 0.01);(1.7±1.7)vs(3.1±1.5),(P < 0.05);9.7% vs 50.0%,(P < 0.05);侧支良好组溶栓后24 h NIHSS评分改善≥50%发生率、90 d mRS 0-2分发生率显著高于侧支不良组(77.4% vs 27.8%,P < 0.05;80.6% vs 27.8%,P < 0.01)。两组间溶栓后30 db病死率差异无统计学意义(P > 0.05),但侧支不良组30 d病死率高于侧支良好组(11.1% vs 0%)(表 2,图 2)。
| 参数 | 侧支良好组(n=31) | 侧支不良组(n=18) | t/校正χ2值 | P值 |
| 溶栓前NIHSS评分 | 11.7±6.5 | 15.0±6.2 | -1.727 | 0.091 |
| 溶栓后24 h NIHSS评分 | 4.7±5.6 | 12.5±8.4 | -3.927 | < 0.01 |
| NIHSS改善≥50%(例,%) | 24(77.4) | 5(27.8) | 11.617 | 0.001 |
| 症状性脑出血(例,%) | 3(9.7) | 9(50.0) | 7.951 | 0.005 |
| 30 d死亡(例,%) | 0 | 2(11.1) | 1.314 | 0.252 |
| 90 d mRS评分 | 1.7±1.7 | 3.1±1.5 | -2.871 | 0.006 |
| mRS 0~2分(例,%) | 25(80.6) | 5(27.8) | 13.407 | < 0.01 |
|
| A:两组患者24 h NIHSS评分改善≥50%发生率对比图;B:两组患者90 d mRS评分0~2分发生率对比图;C:两组患者症状性脑出血发生率对比图;D:两组患者30 d病死率对比图 图 2 两组患者溶栓获益与风险对比图 Fig 2 Comparison of thrombolysis benefit and risk between the two groups |
|
|
脑侧支循环是指当供血动脉严重狭窄或闭塞时,大脑血流借助其他血管或新生血管吻合形成旁路,实现脑缺血区域的灌注代偿[1]。
根据侧支循环发育程度的不同,脑梗死进展可持续数小时至数天不等[4]。在闭塞早期,迅速建立良好侧支循环的患者可形成半暗带,从而减慢梗死核心的进展。随着闭塞时间的延长,侧支血管的建立渐趋丰富,不仅可提高血管自通的概率,还可维持半暗带直至血管的自通[5]。侧支循环对脑梗死核心区体积和缺血组织的大小起决定性作用,侧支循环较好者可通过逆向充盈的血流增加缺血区域的灌注,梗死体积越小,梗死核心与缺血区域不匹配的比率越高[6-7]。因此,良好的侧支循环不仅能够维持半暗带使再灌注时间窗延长,提高血管再通率,还可限制梗死核心和梗死组织的进展,从而提供更好的临床预后,降低出血转化(HT)风险和病死率,预防和延缓永久性神经损害。在本研究中,侧支良好组的溶栓后24 h NIHSS评分、90 d溶栓mRS评分、症状性脑出血发生率明显低于侧支不良组,侧支良好组溶栓后24 h NIHSS评分改善≥50%发生率、90 d mRS 0~2分发生率显著高于侧支不良组,与以往报道相符。而两组间溶栓后30 d病死率相比差异无统计学意义(P > 0.05),但侧支不良组30 d病死率仍大于侧支良好组(11.1% vs 0%),推测此结果与以往报道不一致的可能原因:本研究的样本量相对不足,且侧支不良者占比可能与其他研究也有差异。
本研究中侧支不良组与侧支良好组相比,介入干预/桥接治疗比例有显著差异(15/18 vs 12/31,P < 0.05),侧支良好组桥接治疗比例明显少于侧支不良组。分析原因,其一可能为单纯静脉溶栓后侧支良好的患者发生了血栓溶解,血管再通,症状改善,而不必要进行桥接治疗。Bang等[7]认为良好的侧支血流可以使溶栓药物同时作用于血栓两侧,提高药效及栓子清除率,因此溶栓治疗前侧支循环较好的患者,溶栓后血管再通率一般较高。正如目前指南[9]推荐的,只要符合静脉溶栓标准应当给予静脉溶栓,然后再桥接血管内治疗。虽然本研究中侧支不良组桥接治疗的比例高于侧支良好组,但侧支不良组的溶栓后24 h NIHSS评分改善≥50%发生率、90 d mRS 0~2分发生率均显著低于侧支良好组,即近期预后不佳,且症状性出血率、病死率较高。原因之一可能是侧支不良组患者再通率低或部分患者发生了无效再通(futile recanalization,FR)[8, 10-11]。但本研究样本量相对较少,课题组下一步需扩大样本量并纳入单纯血管内治疗患者。
目前应用于评估脑侧支循环的方法主要有DSA、TCD、MRA、CTA、CT灌注等。相比于其他影像学方法,mCTA除了采集传统的动脉峰值期图像外还会采集静脉峰值期和静脉峰值末期的[2]。mCTA建立多个时相的图像,较全面的显示侧支代偿速度及侧支血管充盈数量,更好的评估AIS患者软脑膜侧支的形成,可作为预测最终梗死体积、梗死灶的进展以及溶栓后预后评估的指标。另外,mCTA操作及成像快捷、解读简便,适用于有金属植入物、昏迷、幽闭恐惧以及需要急诊检查的患者,可在急诊一线应用。
综上所述,对于急性MCA梗死并接受静脉溶栓的患者,良好的侧支代偿可改善溶栓治疗后AIS患者3个月的预后结局,恢复较好的近期神经功能,获得较低的症状性脑出血发生率和较低的致残率、病死率。因此,溶栓治疗前运用mCTA准确评估患者侧支循环,是预测临床结局的重要指标,也是影响治疗决策的重要因素之一。
本研究也存在一些局限性:样本量相对不足,仍需要大规模的临床数据以及前瞻性研究进一步验证mCTA评估的侧枝循环与静脉溶栓治疗后的临床预后分析。
| [1] | Bang OY, Goyal M, Liebeskind DS. Collateral circulation in ischemic stroke: assessment tools and therapeutic strategies[J]. Stroke, 2015, 46(11): 3302-3309. DOI:10.1161/STROKEAHA.115.010508 |
| [2] | Menon BK, d'Esterre CD, Qazi EM, et al. Multiphase CT angiography: a new tool for the imaging triage of patients with acute ischemic stroke[J]. Radiol, 2015, 275(2): 510-520. DOI:10.1148/radiol.15142256 |
| [3] | 中华医学会神经病学分会中华医学会神经病学分会脑血管病学组. 中国急性缺血性脑卒中诊治指南2014[J]. 中华神经科杂志, 2015, 48(4): 246-257. DOI:10.3760/cma.j.issn.1006-7876.2015.04.002 |
| [4] | Hammer MD, Schwamm L, Starkman S, et al. Safety and feasibility of NeuroFlo use in eight- to 24-hour ischemic stroke patients[J]. Int J Stroke, 2012, 7(8): 655-661. DOI:10.1111/j.1747-4949.2011.00719.x |
| [5] | Kidwell CS, Jahan R, Gornbein J, et al. A trial of imaging selection and endovascular treatment for ischemic stroke[J]. N Engl J Med, 2013, 368(10): 914-923. DOI:10.1056/NEJMoa1212793 |
| [6] | Bayramoglu A, Kocak AO, Kadioglu E. Ischemic stroke due to carbon monoxide intoxication: Two case reports[J]. World J Emerg Med, 2018, 9(1): 73-75. DOI:10.5847/wjem.j.1920-8642.2018.01.013 |
| [7] | Bang OY, Saver JL, Buck BH, et al. Impact of collateral flow on tissue fate in acute ischaemic stroke[J]. J Neurol Neurosurg Psychiatry, 2008, 79(6): 625-629. DOI:10.1136/jnnp.2007.132100 |
| [8] | Goyal M, Menon BK, van Zwam WH, et al. Endovascular thrombectomy after large-vessel ischaemic stroke: a meta-analysis of individual patient data from five randomised trials[J]. Lancet, 2016, 387(10029): 1723-1731. DOI:10.1016/S0140-6736(16)00163-X |
| [9] | Powers WJ, Derdeyn CP, Biller J, et al. 2015 American Heart Association/American Stroke Association Focused Update of the 2013 Guidelines for the Early Management of Patients With Acute Ischemic Stroke Regarding Endovascular Treatment:A Guideline for Healthcare Professionals From the American Heart Association/American Stroke Association[J]. Stroke, 2015, 46(10): 3020-3035. DOI:10.1161/STR.0000000000000074 |
| [10] | Linfante I, Starosciak AK, Walker Git, et al. Predictors of poor outcome despite recanalization:a multiple regression analysis of the NASA registry[J]. J Neurointerv Surg, 2016, 8(3): 224-229. DOI:10.1136/neurintsurg-2014-011525 |
| [11] | Hussein HM, Georgiadis AL, Vazquez G, et al. Occurrence and predictors of futile recanalization following endovascular treatment among patients with acute ischemic stroke:a multicenter study[J]. AJNR Am J Neuroradiol, 2010, 31(3): 454-458. DOI:10.3174/ajnr.A2006 |
| [12] | Ginsberg MD. The cerebral collateral circulation: Relevance to pathophysiology and treatment of stroke[J]. Neuro pharmacology, 2018, 134(Pt B): 280-292. DOI:10.1016/j.neuropharm.2017.08.003 |
| [13] | 何斌, 邵斌霞, 张劲松, 等. 侧支循环丰富程度对大脑中动脉梗死患者溶栓预后的影响[J]. 中华急诊医学杂志, 2017, 26(8): 910-913. DOI:10.3760/cma.j.issn.1671-0282.2017.08.016 |
2019, Vol. 28



