2 湖南省儿童医院肝病中心,长沙 410007;
3 湖南省人民医院儿科医学中心,长沙 410005
2 Hepatology Center, Hunan Children's Hospital, Changsha 410007, China;
3 Pediatric Medicine Center, Hunan Provincial People's Hospital, Changsha 410005, China
脓毒症是全球病死率和医疗成本的重要来源之一[1]。脓毒症心肌损伤(sepsis induced myocardial dysfunction,SIMD)是脓毒症常见的并发症,其发生率高达40%[2]。线粒体损伤、氧化应激是脓毒症心肌损伤的常见原因[3]。由线粒体DNA(mitochondrial DNA, mtDNA)特异编码表达的mtATP6基因的表达水平在一定程度上能反映线粒体的功能,脓毒症时,线粒体易受到氧化应激损伤,导致其功能受损,mtATP6基因的表达水平随之下调[4]。高迁移率族蛋白B1(high mobility group box 1 protein,HMGB1)是一种高度保守的DNA结合蛋白,HMGB1的功能取决于其分子定位[5],生理情况下HMGB1存在于细胞核内,具有稳定核小体的结构和促进基因重组、修复、转录等,有“DNA伴侣”之称[6];脓毒症时HMGB1释放至细胞外,是脓毒症致死效应最重要的晚期炎症介质之一。HMGB1在脓毒症发病机制中的作用研究,主要集中在其作为炎症因子的胞外作用,但细胞内HMGB1对DNA损伤修复的调控作用研究较少。已有研究发现,线粒体内HMGB1直接与受损的mtDNA相互作用,对mtDNA损伤修复具有明确的作用[7]。有研究表明姜黄素可下调HMGB1的受体,显著减少HMGB1向细胞质转移、释放和表达[8]。本研究探讨姜黄素对大鼠脓毒症心肌mtATP6与HMGB1 mRNA表达及对外周血浆HMGB1水平的影响研究,为治疗脓毒症心肌损伤提供新的策略。
1 材料与方法 1.1 实验动物及分组实验动物由湖南斯莱克实验动物有限公司提供,为SPF级雄性SD大鼠30只,体质量(220±20)g,周龄6~8周[许可证号:SCXK(湘)2011-0003],随机(随机数字法)分为三组:假手术组(Sham组)、脓毒症组(CLP组)、脓毒症+姜黄素治疗组(Cur)组,每组10只,严格按照动物伦理学标准处理动物。
1.2 主要试剂姜黄素购自美国Sigma公司,HMGB1试剂盒购自上海卡迈舒公司,Trizol试剂购自美国Invitrogen公司,逆转录酶购自美国Thermo公司。
1.3 动物模型制备术前12 h禁食不禁水,腹腔注射10%水合氯醛溶液(3 mL/kg)麻醉大鼠后仰卧位固定于手术板上,碘酊消毒腹部。CLP组及Cur组采用盲肠结扎穿孔术(CLP)建立脓毒症大鼠模型[9],Sham组仅翻动肠腔,不结扎盲肠,姜黄素干预组根据前期研究[10],大鼠造模后按100 mg/kg体质量立即予以腹腔注射姜黄素处理,Sham组及CLP组注射等量生理盐水,各组分别于6 h、24 h麻醉后取血及心脏组织。
1.4 心脏组织病理学检查取心脏组织蜡块切片成2 μm,行HE染色,光镜下观察各组织样本,并使用Rezkalla等[11]的方法计算心肌组织的病理积分:在每个组织样本中随机选择5个400倍的视野,分别计算在每个视野中炎症细胞浸润及坏死的心肌面积占整个视野范围的比值:无病变范围为0分; 心肌病变面积 < 25%为1分; 心肌病变面积25%~50%为2分; 心肌病变面积50%~75%为3分; 心肌病变面积 > 75%为4分。取随机的5个视野的平均数作为该组织的病理评分。
1.5 心肌损伤指标的血生化检测大鼠心脏取血后,将1 mL血液注射至促凝管中静置0.5 h,放入离心机3 000 r/min离心5 min,取上清液,全自动生化仪检测血清中CK和CK-MB水平。
1.6 血浆HMGB1水平采用ELASA法检测血浆HMGB1水平,操作按照试剂盒(上海卡迈舒公司)说明书进行。
1.7 心肌组织中HMGB1、mtATP6 mRNA水平制备心肌组织匀浆,采用RT-PCR法检测心肌组织中HMGB1、mtATP6 mRNA表达。以甘油醛-3-磷酸脱氢酶(GAPDH)作为内参对照。HMGB1的正向扩增引物:5’-TCCCTCATCCTTGTTTACTCGG-3’,反向:5’-TGAGGACATTTTGCCTCTCGG-3’。GAPDH正向扩增引物:5’-AGCCCAAGATGCCCTTCAGT,反向:5’-CCGTGTTCCTACCCCCAATG-3’,引物序列由优诚生物公司提供。分别取正反向引物各0.5 μL,SYBR Green Real-time PCR Mix 5 μL,cDNA 1 μL,DEPC水3 μL,总体积10 μL。反应在ABI 7500实时荧光定量PCR仪上进行。PCR反应程序:95 ℃变性5 s、60 ℃退火30 s,共40个循环。以GAPDH为内参,采用相对定量法分析三组不同时间点HMGB1基因的表达水平。
1.8 统计学方法采用SPSS 18.0作为数据处理软件。计量资料采取均数±标准差(Mean±SD)表示,多组间均数比较采用单因素方差分析,组间两两比较采用LSD-t检验。以P < 0.05差异有统计学意义。
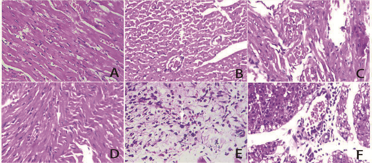
2 结果 2.1 心脏组织病理学改变Sham组大鼠各时间点心肌组织形态基本正常(图 1A、D); CLP组大鼠心肌组织损伤程度随时间延长逐渐加重,6 h心肌细胞轻度肿胀、细胞核肿胀、空泡变性、炎症细胞浸润,未见明显核膜破裂、心肌细胞皱缩(图 1B); 24 h部分心肌纤维断裂、间质水肿,心肌细胞坏死,细胞间隙变大,毛细血管充血,大量炎症细胞浸润(图 1E)。Cur组6 h、24 h大鼠心肌细胞排列欠整齐,细胞肿胀、炎症细胞浸润均较CLP组少(图 1C、F)。动态观察大鼠心肌组织病理改变,Sham组6 h、24 h心肌组织病理积分差异无统计学意义(P < 0.05); CLP组随时间延长心肌组织病理积分增加,CLP组在6 h、24 h心肌组织病理积分均高于Sham组(P < 0.01); Cur组在6 h、24 h心肌组织病理积分均低于CLP组(P < 0.05),见表 1。
|
| A:Sham组6 h; B:CLP组6 h; C:Cur组6 h; D:Sham组24 h; E:CLP组24 h; F:Cur组24 h 图 1 各组大鼠心肌组织病理改变(HE×400) Fig 1 Pathological changes of myocardial tissue in rats of each group (HE×400) |
|
|
| 组别 | 病理积分 | |
| 6 h | 24 h | |
| Sham组 | 0.24±0.17 | 0.28±0.11 |
| CLP组 | 2.04±0.17a | 3.08±0.11c |
| Cur组 | 1.68±0.11b | 2.72±0.27d |
| F值 | 200.12 | 362.58 |
| P值 | < 0.01 | < 0.01 |
| 注:与Sham组6 h比较,aP < 0.05;与CLP组6 h比较,b P < 0.05;与Sham组24 h比较,cP < 0.05;与CLP组24 h比较,dP < 0.05 | ||
CK及CK-MB各组间比较差异有统计学意义,CLP组及Cur组血浆CK及CK-MB水平随时间延长呈降低趋势,6 h及24 h均高于Sham组相应时间点(P < 0.05)。Cur组血浆CK及CK-MB水平在6 h、24 h均低于CLP组(P < 0.05),见表 2。
| 组别 | CK | CK-MB | |||
| 6 h | 24 h | 6 h | 24 h | ||
| Sham组 | 1 378.00±136.10 | 975.20±134.84 | 368.40±25.49 | 282.20±17.67 | |
| CLP组 | 3 017.00±432.58a | 1 839.00±171.13c | 817.20±19.98a | 461.60±43.04c | |
| Cur组 | 2 474.00±225.39b | 1 365.40±140.40d | 656.40±55.35b | 361.80±58.26d | |
| F值 | 40.78 | 41.78 | 188.59 | 21.80 | |
| P值 | < 0.01 | < 0.01 | < 0.01 | < 0.01 | |
| 注:与Sham组6 h比较,aP < 0.05;与CLP组6 h比较,b P < 0.05;与Sham组24 h比较,cP < 0.05;与CLP组24 h比较,dP < 0.05 | |||||
3组大鼠血浆HMGB1水平在6 h和24 h均差异有统计学意义。CLP组血浆HMGB1水平在6 h、24 h均高于Sham组(P < 0.01和P=0.002); Cur组血浆HMGB1水平在6 h、24 h均低于CLP组(P=0.005和P < 0.01),见表 3。
| 组别 | 血浆HMGB1 | 心肌组织HMGB1 mRNA | mtATP6 | |||||
| 6 h | 24 h | 6 h | 24 h | 6 h | 24 h | |||
| Sham组 | 39.46±2.75 | 43.48±2.33 | 1.00±0.37 | 0.37±0.22 | 1.00±0.11 | 0.30±0.22 | ||
| CLP组 | 47.76±2.10a | 58.78±8.52 | 0.31±0.10a | 0.58±0.36 | 0.35±0.22a | 0.30±0.21 | ||
| Cur组 | 41.51±3.16b | 38.31±2.81c | 0.57±0.26 | 0.29±0.05 | 0.63±0.21 | 0.35±0.09 | ||
| F值 | 13.06 | 18.31 | 5.17 | 1.075 | 7.108 | 0.101 | ||
| P值 | 0.001 | < 0.01 | 0.049 | 0.399 | 0.021 | 0.905 | ||
| 注:与Sham组6 h比较,aP < 0.05;与CLP组6 h比较,bP=0.005;与CLP组24 h比较,cP < 0.05 | ||||||||
CLP组大鼠心肌组织中HMGB1 mRNA表达水平在6 h低于Sham组(P=0.019),而Cur组大鼠心肌组织中HMGB1 mRNA表达水平在6 h高于CLP组,但差异无统计学意义(P > 0.05)。CLP组HMGB1 mRNA表达水平在24 h高于Sham组,低于Cur组,但差异均无统计学意义(P > 0.05),见表 3。
2.5 心肌组织中mtATP6表达水平CLP组大鼠心肌组织中mtATP6表达水平在6 h低于Sham组(P=0.007),而Cur组大鼠心肌组织中mtATP6表达水平在6 h高于CLP组,但差异无统计学意义(P > 0.05),心肌组织中mtATP6表达水平在24 h三组间差异均无统计学意义,见表 3。
3 讨论脓毒症存在着高发病率、高病死率、高治疗费用的“三高”现象[12],而心肌损伤是脓毒症常见的并发症。目前对于脓毒症心肌功能障碍的发病机制尚未完全明确。主要有以下几个方面:氧化应激反应、炎症因子损伤、Toll样受体(TLR)作用、细胞凋亡、心肌线粒体功能障碍[13]。其中氧化应激在脓毒症心肌损伤的线粒体功能障碍中具有重要意义[14]。
HMGB1生理状态下结合于核染色体,可调节基因的重组、修复、转录及分化成熟等生命活动,在受损心肌中,直接注射外源性HMGB1可以使心肌细胞向损伤部位迁移,促进心肌重建[15]。已有研究表明,条件性敲除胰腺、肝脏、骨髓细胞的HMGB1,可致胰腺炎、肝缺血-再灌注损伤及脓毒症发生率增高[16-17]。脓毒症时,HMGB1释放至细胞外,是脓毒症致死效应最重要的晚期炎症介质,其受体主要有TLR2、TLR4、TLR9等,其中TLR4参与或加重了脓毒症心肌损伤。在LPS诱导的脓毒症时,TLR4将信号传递至MyD88,经过一系列信号传导,进而激活核转录因子NF-κB,最终影响某些基因的表达[18]。因此,稳定细胞内HMGB1水平,降低胞外HMGB1水平,对脓毒症治疗具有重要意义。
mtDNA损伤可以引起细胞内呼吸链异常、ATP合成代谢障碍,导致线粒体功能异常,是许多疾病发生发展的重要环节[19]。在脓毒症器官损伤早期,作为内源性损伤识别分子的mtDNA,可以促进炎症反应,引起氧化应激反应的放大,产生大量的氧自由基(ROS),导致mtDNA直接或间接损伤,从而对mtDNA的转录和表达造成影响。ATP合成酶要素之一的ATP6由mtDNA编码,因此,mtATP6表达水平在一定程度上能反映线粒体的功能。在脓毒症发生的早期,因氧化应激心肌线粒体功能受损,从而导致mtDNA基因表达发生改变,mtATP6会随之出现下调[20]。因此,对于脓毒症心肌损伤,使用抗氧化剂治疗可作为其重要的治疗策略。
而姜黄素作为一种常见的中药成分,具有广泛的药理作用,包括抗氧化、抗炎、抗凋亡、抗增殖、降血脂等[21-22],且具有显著的心血管保护活性[23]。本研究发现,姜黄素治疗组血清CK及CK-MB水平较脓毒症组明显下降,24 h组CK及CK-MB水平均较6 h组降低,提示心肌损伤在脓毒症早期即出现,但随时间的延长逐渐下降,这可能与CK及CK-MB在心肌细胞胞质内释放与降解的动态平衡及代谢耗竭有关。而各组大鼠心肌病理损伤程度24 h较6 h严重,可能与炎症反应持续损伤有关。通过心肌病理损伤观察及心肌酶学检测均提示姜黄素对脓毒症心肌损伤具有保护作用。亦有研究显示,姜黄素选择性抑制HMGB1的TLR2受体,可以预防和治疗心肌梗死[24]。姜黄素可能通过抑制肝脏中HMGB1的受体TLR2、TLR4、TLR9的表达来减轻肝脏损伤[25]。此外,姜黄素下调HMGB1受体TLR2和TLR4,使赖氨酸乙酰化程度降低,可显著减少HMGB1向细胞质转移、释放和表达[26]。本研究发现,与假手术组6 h比较,脓毒症组6 h大鼠心肌组织中HMGB1下降,而血浆HMGB1浓度升高,说明脓毒症时HMGB1从胞内释放至胞外,姜黄素治疗后可提升细胞内HMGB1水平,进而降低血浆中HMGB1的水平。与假手术组24 h比较,脓毒症组24 h大鼠心肌组织HMGB1水平较假手术组反而上升,推测可能与HMGB1表达增高或坏死细胞释放HMGB1增加有关。HMGB1是一个晚期炎症因子,脓毒症时HMGB1通过单核-巨噬细胞主动分泌,先从细胞核转移至细胞质,然后移出至细胞外,也可通过坏死细胞被动释放HMGB1。在脓毒症死亡的患者中,心肌细胞线粒体的功能障碍与线粒体结构的损伤、氧化还原状态的改变及抗氧化能力的下降相关,对于脓毒症器官功能损伤的严重程度与预后具有重要意义[27]。mtDNA无组蛋白保护,在脓毒症时容易因氧化应激而受损伤,而且损伤程度重且持久,线粒体功能受损,mtDNA编码表达的mtATP6基因水平会降低,影响线粒体的动力学及ATP合成代谢功能,导致脓毒症心肌损伤加重。在本实验中,6 h脓毒症组大鼠心肌组织中mtATP6表达水平低于假手术组,而姜黄素组高于脓毒症组,说明作为抗氧化剂的姜黄素可提升mtATP6水平,从而减轻线粒体氧化应激反应,改善mtDNA的损伤,保护心肌组织线粒体功能,进而降低脓毒症病死率,可能为治疗脓毒症提供新的有效途径。
综上所述,姜黄素通过影响HMGB1释放及移位下调胞外水平、调控mtATP6的表达水平,对CLP脓毒症大鼠急性心肌损伤具有保护作用。但姜黄素调节HMGB1及mtATP6发挥保护脓毒症心肌损伤的具体机制有待进一步的探究。
作者贡献声明 刘颖:实验设计,进行实验,撰写论文; 于莹:参与实验,采集收集数据; 张新萍:负责最终版本修订,重要的学术性内容做出关键性修改; 李双杰:参与论文选题及设计,对拟发表文章作最后审阅及定稿; 祝益民:参与选题及设计,论文关键性修改; 肖政辉:参与论文修改; 卢秀兰:参与论文选题; 颜海鹏:参与实验及数据分析...
| [1] | Chambers KA, Park AY, Banuelos RC, et al. Outcomes of severe sepsis and septic shock patients after stratification by initial lactate value[J]. World J Emerg Med, 2018, 9(2): 113-117. DOI:10.5847/wjem.j.1920-8642.2018.02.005 |
| [2] | Romero-Bermejo FJ, Ruiz-Bailen M, Gil-Cebrian J, et al. Sepsis-induced cardiomyopathy[J]. Curr Cardiol Rev, 2011, 7(3): 163-183. DOI:10.2174/157340311798220494 |
| [3] | 方翔, 王锦权. 脓毒性心肌病的线粒体机制[J]. 中华危重病急救医学, 2018, 30(2): 189-192. DOI:10.3760/cma.j.issn.2095-4352.2018.02.019 |
| [4] | Chin RM, Panavas T, Brown JM, et al. Optimized mitochondrial targeting of proteins encoded by modified mRNAs rescues cells harboring mutations in mtATP6[J]. Cell Rep, 2018, 22(11): 2818-2826. DOI:10.1016/j.celrep.2018.02.059 |
| [5] | Andersson U, Antoine DJ, Tracey KJ. The functions of HMGB1 depend on molecular localization and post-translational modifications[J]. J Intern Med, 2014, 276(5): 420-424. DOI:10.1111/joim.12309 |
| [6] | Stros M, Kucirek M, Sani SA, et al. HMGB1-mediated DNA bending: Distinct roles in increasing p53 binding to DNA and the transactivation of p53-responsive gene promoters[J]. Biochim Biophys Acta, 2018, 1861(3): 200-210. DOI:10.1016/j.bbagrm.2018.02.002 |
| [7] | Ito H, Fujita K, Tagawa K, et al. HMGB1 facilitates repair of mitochondrial DNA damage and extends the lifespan of mutant ataxin-1 knock-in mice[J]. EMBO Mol Med, 2015, 7(1): 78-101. DOI:10.15252/emmm.201404392 |
| [8] | Zhang Y, Liu Z, Wu J, et al. New MD2 inhibitors derived from curcumin with improved anti-inflammatory activity[J]. Eur J Med Chem, 2018, 148: 291-305. DOI:10.1016/j.ejmech.2018.02.008 |
| [9] | Rittirsch D, Huber-Lang MS, Flierl MA, et al. Immunodesign of experimental sepsis by cecal ligation and puncture[J]. Nat Protoc, 2008, 4(1): 31-36. DOI:10.1038/nprot.2008.214 |
| [10] | Yin H, Tao P, Wei J, et al. Protective effects of curcumin on hepatocytes in cecal ligation and puncture-induced sepsis in rats[J]. Int J Clin Exp Med, 2016, 9(12): 23072-23081. |
| [11] | Rezkalla S, Kloner RA, Khatib G, et al. Effect of metoprolol in acute coxsackievirus B3 murine myocarditis[J]. J Am Coll Cardiol, 1988, 12(2): 412-414. DOI:10.1016/0735-1097(88)90414-7 |
| [12] | 王承娟, 祝益民, 肖政辉, 等. 脓毒症患儿血浆线粒体DNA的变化及临床意义[J]. 中华急诊医学杂志, 2018, 27(5): 529-535. DOI:10.3760/cma.j.issn.1671-0282.2018.05.014 |
| [13] | Park DW, Zmijewski JW. Mitochondrial dysfunction and immune cell metabolism in sepsis[J]. Infect Chemother, 2017, 49(1): 10-21. DOI:10.3947/ic.2017.49.1.10 |
| [14] | Pool R, Gomez H, Kellum JA. Mechanisms of organ dysfunction in sepsis[J]. Crit Care Clin, 2018, 34(1): 63-80. DOI:10.1016/j.ccc.2017.08.00 |
| [15] | Andersson U, Harris HE. The role of HMGB1 in the pathogenesis of rheumatic disease[J]. Biochim Biophys Acta, 2010, 1799(1/2): 141-148. DOI:10.1016/j.bbagrm.2009.11.003 |
| [16] | Huang H, Nace GW, McDonald K, et al. Hepatocyte-specific high-mobility group box 1 deletion worsens the injury in liver ischemia/reperfusion: A role for intracellular high-mobility group box 1 in cellular protection[J]. Hepatology, 2014, 59(5): 1984-1997. DOI:10.1002/hep.26976 |
| [17] | Kang R, Zhang Q, Hou W, et al. Intracellular hmgb1 inhibits inflammatory nucleosome release and limits acute pancreatitis in mice[J]. Gastroenterology, 2014, 146(4): 1097-1107. DOI:10.1053/j.gastro.2013.12.015 |
| [18] | 李杜鹏, 赵妮, 罗书航, 等. 艾司洛尔对脓毒症大鼠肺脏保护作用的实验研究[J]. 中华急诊医学杂志, 2018, 27(1): 78-84. DOI:10.3760/cma.j.issn.1671-0282.2018.01.016 |
| [19] | 张卉, 李春盛, 姚咏明. 脓毒症线粒体功能障碍及其干预对策[J]. 中华急诊医学杂志, 2018, 27(2): 117-119. DOI:10.3760/cma.j.issn.1671-0282.2018.02.001 |
| [20] | Celotto AM, Chiu WK, van Voorhies W, et al. Modes of metabolic compensation during mitochondrial disease using the Drosophila model of ATP6 dysfunction[J]. PLoS One, 2011, 6(10): e25823. DOI:10.1371/journal.pone.0025823 |
| [21] | Afrin R, Arumugam S, Rahman A, et al. Curcumin ameliorates liver damage and progression of NASH in NASH-HCC mouse model possibly by modulating HMGB1-NF-κB translocation[J]. Int Immunopharmacol, 2017, 44: 174-182. DOI:10.1016/j.intimp.2017.01.016 |
| [22] | 陶珮, 尹海燕, 马永辉. 姜黄素对脓毒症大鼠肝细胞线粒体膜通透性转换的作用机制研究[J]. 中华危重病急救医学, 2014, 26(9): 666-670. DOI:10.3760/cma.j.issn.2095-4352.2014.09.012 |
| [23] | Saeidinia A, Keihanian F, Butler AE, et al. Curcumin in heart failure: a choice for complementary therapy?[J]. Pharmacol Res, 2018, 131: 112-119. DOI:10.1016/j.phrs.2018.03.009 |
| [24] | Kim YS, Kwon JS, Cho YK, et al. Curcumin reduces the cardiac ischemia-reperfusion injury: involvement of the toll-like receptor 2 in cardiomyocytes[J]. J Nutr Biochem, 2012, 23(11): 1514-1523. DOI:10.1016/j.jnutbio.2011.10.004 |
| [25] | Tu C, Han B, Yao Q, et al. Curcumin attenuates Concanavalin A-induced liver injury in mice by inhibition of Toll-like receptor (TLR) 2, TLR4 and TLR9 expression[J]. Int Immunopharmacol, 2012, 12(1): 151-157. DOI:10.1016/j.intimp.2011.11.005 |
| [26] | Gu Q, Guan H, Shi Q, et al. Curcumin attenuated acute Propionibacterium acnes-induced liver injury through inhibition of HMGB1 expression in mice[J]. Int Immunopharmacol, 2015, 24(2): 159-165. DOI:10.1016/j.intimp.2014.12.005 |
| [27] | Gu J, Luo L, Wang Q, et al. Maresin 1 attenuates mitochondrial dysfunction through the ALX/cAMP/ROS pathway in the cecal ligation and puncture mouse model and sepsis patients[J]. Lab Invest, 2018, 98(6): 715-733. DOI:10.1038/s41374-018-0031-x |
2019, Vol. 28



