2 浙江大学医学院附属第二医院心血管内科,杭州 310009
2 The Second Affiliated hospital, Department of Cardiology, Zhejiang University School of Medicine, Hangzhou 310009, china
缺血性心脏病(ischemic heart disease, IHD)是当今世界上发病率和病死率不断上升的一种严重威胁健康的疾病[1]。血液疏通虽是IHD目前临床主要的治疗方法,但也是心肌缺血-再灌注损伤(myocardial ischemia reperfusion injury,MIRI)的罪魁祸首[2]。MIRI的过程涉及一系列复杂的病理过程,包括炎症反应、钙超载、细胞自噬和凋亡等[3-5]。已有研究发现,Toll样受体(toll-like receptor, TLR)信号通路炎症反应被认为是心肌缺血-再灌注诱导组织损伤的关键环节[6]。TLR4通过细胞外富含亮氨酸的重复结构域(LRR)和Toll/IL-1受体结构域(TIR)转导信号,在MIRI期间诱导炎症反应中起主要作用[7]。TLR4是第一个发现在哺乳动物中的TLR, 也是TLR家族成员中唯一一个能激活骨髓分化因子88 (myeloid differentiation factor 88, MyD88)依赖路径和包含适配器诱导的TIR域干扰素β(TIR domain containing adapter inducing interferon β, TRIF)依赖路径。TLR4 / MyD88和TLR4 / TRIF激活的NF-κB和IRF3分别诱导一系列的炎症因素[8]。
Myocardin相关转录因子(myocardin-related transcription factors, MRTFs)MRTF-A,作为SAP蛋白家族重要成员[9],可辅助调控血清反应因子(serum response factor, SRF)激活而促使多个基因表达。MRTF-A特异性表达于机体生长发育阶段的心肌和平滑肌细胞内,与细胞增殖、分化、凋亡、信号转导相关[10-11]。有研究指出,激活的RhoA信号引起胞质内G-肌动蛋白池的减少,使G-肌动蛋白从MRTF-A上解离下来,促进MRTF-A向细胞核转移与SRF形成复合物,与下游靶基因启动子上特定DNA序列CarG盒[血清反应元件(SRE)的组成部分,CC(A/T)6GG box]结合,调控相关基因(如:immediate early genes, IEGs)的表达,对外界因素(如:缺血、缺氧等)刺激表现出快速的基因响应[12]。前期工作表明转录调节因子MRTF-A参与了MIRI诱导的心肌细胞凋亡,并在培养的原代心肌细胞中初步探讨了MRTF-A缓解缺氧的心肌细胞活性的分子机制[13]。但是,MRTF-A的心肌保护机制复杂且未阐述完全。因此,本研究将通过慢病毒感染使心肌组织过表达MRTF-A,探讨MRTF-A是否通过调控TLR4/TRIF信号通路保护抑制急性心肌缺血-再灌注介导的心肌损伤。
1 材料与方法 1.1 材料及仪器健康成年SD雄性大鼠30只,购自中国科学院上海实验动物中心,清洁级,体质量250~300 g。慢病毒MRTF-A由上海吉凯基因化学技术有限公司构建。抗体TRL4和TRIF等由美国Abcam公司提供。凋亡检测试剂盒购自罗氏公司。免疫组织化学试剂盒和DAB显色试剂盒,由南京建成生物工程研究所提供。实时荧光定量PCR试剂盒,由美国Invitrogen公司提供。HX-300动物呼吸机购自中国成都泰盟科技有限公司。实时荧光定量PCR仪购置Bio-Rad公司。激光共聚焦扫描显微镜为日本Olympus产品。
1.2 慢病毒感染采用随机数字表法分为三组:假手术组、模型组、MRTF-A感染组,每组10只大鼠。取MRTF-A感染组的动物,用腹腔注射水合氯醛(0.3 ml/100 g)麻醉动物,固定于手术台上。大鼠气管插管,利用小动物呼吸机以60次呼吸/ min,吸气/呼气比2:1,潮气量18 ml/kg进行辅助通气。心脏暴露在左胸第四和第五肋骨之间。待心脏暴露之后,按每只老鼠1 × 107 TU/30 μl的量,使用30-gauge针通过50μl显微注射在左心室前壁分别取5个部位进行心肌注射。注射后迅速缝合胸腔。在心肌内注射慢病毒7 d后,构建模型。
1.3 动物模型构建模型组和MRTF-A感染组,用腹腔注射水合氯醛(0.3 ml/100 g)麻醉动物,固定于手术台上。大鼠气管插管,利用小动物呼吸机以60次呼吸/ min,吸气/呼气比2 : 1,潮气量18 ml/kg进行辅助通气。心脏暴露在左胸第四和第五肋骨之间。在心脏暴露之后,左前降支冠状动脉(LAD)采用丝缝线结扎,可逆转阻断LAD。使心肌缺血30 min,再灌注120 min。缺血-再灌注后,处死大鼠,采集心肌组织,进行下一步的研究。假手术组仅暴露心脏,不做心肌缺血-再灌注处理。
1.4 心肌梗死面积测定将大鼠处死后,取出心脏,去除表面组织,用冰生理盐水进行反复冲洗,于-20 ℃冰箱中冷冻30 min,从心尖部沿垂直于心脏长轴方向连续切片,厚度约2 mm,置于含1%TTC(sigma公司,美国)的磷酸盐缓冲液中,于35 ℃恒温孵育20 min,甲醛固定。利用Imagemaster VDS图像分析软件检测心肌梗死面积,分析心肌梗死面积占心肌总面积的比例,梗死区被染成灰白色,未梗死区被染成深红色。
1.5 苏木精-伊红(HE)染色心肌组织在4.0%多聚甲醛固定, 石蜡包埋,切割成4 μm片。随后,切片进行HE染色,光镜下观察。
1.6 生化分析血清乳酸脱氢酶(LDH)和肌酸激酶MB (CK-MB)采用市售分析试剂盒(北京科美东雅生物科技有限公司,中国)测定。
1.7 免疫组织化学取组织,经甲醛固定、石蜡包埋、切片、脱蜡水化、通透后,用PBS漂洗3次。将切片浸入0.01 mol/L(pH6.0)柠檬酸盐缓冲液中,于微波炉中加热、持续20 min,室温自然冷却后,用PBS漂洗3次。用3%双氧水孵育20 min。封闭20 min后,滴加抗体,于4℃孵育过夜,用PBS漂洗3次。依次滴加试剂盒相关试剂作用29 min,用PBS漂洗3次。使用DAB显色试剂盒,室温显色,镜下控制反应时间,自来水冲洗。滴加苏木精轻度复染后,依次进行脱水、透明、中性胶封片及显微镜观察。
1.8 实时荧光定量PCR(qPCR)从心肌组织中用TRizol试剂提取总RNA,利用逆转录成互补DNA (cDNA)。设计引物序列如下:内参actin:上游引物CACGATGGAGGGGCCGGACTCATC,下游引物TAAAGACCTCTATGCCAACACAGT;TRIF:上游引物TGAGGAGGGTTTCTGGTAGC,下游引物GGATGCCCAGAAGAACTTGT;TRL4:上游引物TCCTCTCCTGCCTGAGACC,下游引物CATGCATTGGTAAGTAGTGTTGGA。利用Bio-rad实时荧光定量PCR仪进行扩增,并分析结果。
1.9 统计学方法采用SPSS 13.0统计软件。计量资料以均数±标准差(Mean±SD)表示,多个样本均数比较采用单因素方差分析,两两之间比较采用LSD-t检验。相关性分析采用Pearson直线相关分析法。以P < 0.05为差异有统计学意义。
2 结果 2.1 MRTF-A降低MIRI期间血清心肌酶活性分化检测显示(图 1):与假手术组比较,心肌缺血30 min后再灌注2 h明显增加血清心肌酶CK-MB、LDH活性(P < 0.05)。感染MRTF-A至心肌后,CK-MB、LDH水平较模型组明显降低(P < 0.05)。
|
| A:LDH活性检测。B:CK-MB活性检测。对假手术组比较,aP < 0.05;与模型组比较,bP < 0.05 图 1 生化检测评价血清心肌酶活性 Fig 1 Biochemical analysis was used to detect serum myocardial enzyme activity |
|
|
心肌梗死大小分析显示(图 2):非梗死区呈现为鲜红色,梗死区域呈现为灰白色。假手术组梗死面积为0,模型组心肌梗死面积为(54.31±3.07)%(与假手术组对比,P < 0.05),MRTF-A感染组心肌梗死面积为(16.74±4.26)%(与模型组对比,P < 0.05)。
|
| 心肌梗死面积测定。A:伊文思蓝-TTC双染色显示出心肌梗死区域。蓝色为非缺血区,灰白色为缺血区。B:梗死面积计算;对假手术组比较,aP < 0.05;与模型组比较,bP < 0.05 图 2 TTC染色评价心肌梗死面积 Fig 2 Myocardial infarct size was detected by TTC |
|
|
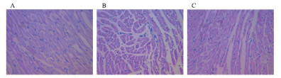
假手术组心肌组织排列规律纹清晰,无异型或坏死。模型组心肌发生心肌纤维变形和紊乱,心肌细胞肿胀破裂,炎性细胞浸润明显。MRTF-A感染组结构接近正常,轻度水肿,少量炎性细胞浸润。见图 3。
|
| A:假手术组,B:模型组,C:MRTF-A感染组 图 3 HE染色测定心肌损伤程度(×20) Fig 3 Degree of myocardial injury was measured by HE staining(×20) |
|
|
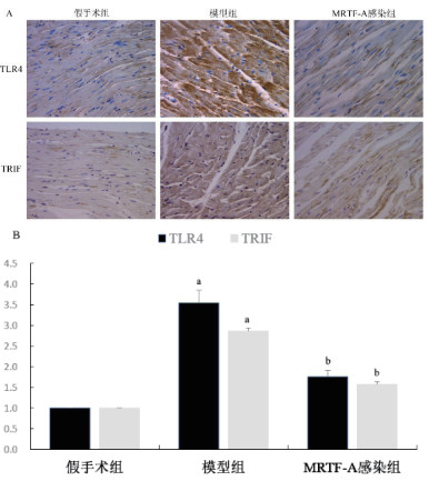
免疫组织化学(图 4A)和qPCR(图 4B)分析显示。与假手术组相比,心肌缺血30 min再灌注2 h后TRL4、TRIF的蛋白和mRNA表达明显上调(P < 0.05)。MRTF-A感染组降低了TRL4、TRIF的蛋白和mRNA表达(P < 0.05)。
|
| A:免疫组织化学检测TLR4和TRIF表达,20×。B:qPCR检测TLR4和TRIF的mRNA表达;对假手术组比较,aP < 0.05;与模型组比较,bP < 0.05 图 4 TLR4和TRIF的蛋白和mRNA表达 Fig 4 The Protein and mRNA expression of TLR4 and TRIF |
|
|
MRTF-A表达较广泛,在神经系统、心血管系统、肿瘤细胞等部位均有表达[14-15],特别是通过参与基因转录调控影响着心血管的生长和重塑等[10]。研究证实,一组MRTF-A缺失的小鼠在胚胎时期心室异常扩张,死于妊娠中期,缺乏MRTF-A的成年老鼠则出现急性或慢性压力超负荷引起明显的心脏肥大肥厚性心室[16-17]。研究发现,MRTF-A调控由心肌梗死激活的心脏纤维化的基因程序,而MRTF-A敲除老鼠则大幅降低心肌梗死后的纤维疤痕的大小[18-19]。
由此可见,MRTF-A作为一个标志性的转录因子在胚胎及成年心肌和平滑肌细胞中特异表达,是心肌和平滑肌细胞发育和分化相关基因表达所必需的因子之一。
转录调节因子MRTF-A在MIRI诱导的心肌细胞凋亡过程中表达升高。在培养的原代心肌细胞中过表达MRTF-A可激活ERK1/2信号通路、抑制细胞色素C释放并上调抗凋亡基因Bcl-2的转录表达,从而缓解缺氧损伤模型介导的心肌细胞存活率[13]。说明,MRTF-A对心肌细胞的存活发挥着重要作用。目前的研究进一步证明,MRTF-A感染心肌组织后可降低血清心肌酶(CK-MB和LDH)活性,缩小心肌梗死范围,缓解缺血-再灌注介导的组织损伤。但MIRI发生机制复杂、涉及因素较多,MRTF-A对MIRI后的心肌细胞损伤的调控机制尚未完全阐明,特别是MRTF-A是通过怎样的机制调控靶基因的表达,需要深入探讨。
对于MIRI的临床治疗主要采用药物、冠状动脉介入疗法、冠状动脉旁路手术等,对血流闭阻血管的再灌注治疗是心肌梗死后心室重构及其功能衰竭的“治本”和基础治疗。虽然再灌注可改善心肌的血液供应,但也会加重心肌缺血所造成的损伤,导致心肌梗死面积扩大,细胞炎症反应等,影响患者的预后。在MIRI期间调节免疫应答和激活炎症反应过程中,TLR4起着至关重要的作用,这是由于促炎细胞因子诱导和趋化因子浸润所致。TLR4分子表达于多种细胞中,其下游TRIF依赖性信号转导通路包括TRIF、IRF3以及IFN-β等因子。TLR4可以通过TRIF介导的下游信号转导途径,即TRAM与TRIF结合,活化下游TRAF-6,然后激发IRF3诱导相应细胞因子、干扰素以及共刺激分子的表达。本研究显示,MRTF-A过表达可减轻TLR4/TRIF信号通路相关蛋白表达,说明MRTF-A对TLR 4炎症通路有明显的负调控作用,对心肌缺血-再灌注有较强的保护作用。
| [1] | Go AS, Mozaffarian D, Roger VL, et al. AmericanHeart Association Statistics Committee and Stroke StatisticsSubcommittee:Executive summary:Heart disease and strokestatistics-2014 update:a report from the American HeartAssociation[J]. Circulation, 2014, 129: 399-410. DOI:10.1161/01.cir.0000442015.53336.12 |
| [2] | 张先林, 章萍, 王岳松, 等. 急性心肌梗死行急诊介入治疗术中再灌注心律失常的临床分析[J]. 中华急诊医学杂志, 2014, 23(10): 1143-1145. DOI:10.3760/cma.j.issn.1671-0282.2014.10.018 |
| [3] | Ilczuk T, Wasiutynski A, Wilczek E, et al. The study of the protein complement in myocardial infarction[J]. Immunol Lett, 2014, 162: 262-268. DOI:10.1016/j.imlet.2014.09.015 |
| [4] | Xu J, Qin X, Cai X, et al. Mitochondrial JNK activation triggersautophagy and apoptosis and aggravates myocardial injuryfollowing ischemia/reperfusion[J]. BiochimBiophys Acta, 2015, 1852: 262-270. DOI:10.1016/j.bbadis.2014.05.012 |
| [5] | Kim MY, Lim SH, Lee J. Intake of hot water-extracted appleprotects against myocardial injury by inhibiting apoptosis in anischemia/reperfusion rat model[J]. Nutr Res, 2014, 34: 951-960. DOI:10.1016/j.nutres.2014.08.007 |
| [6] | Frangogiannis NG, Smith CW, Entman ML. The inflammatory response in myocardial infarction[J]. Cardiovasc Res, 2002, 53: 31-47. DOI:10.1016/S0008-6363(01)00434-5 |
| [7] | Ding HS, Yang J, Gong FL, et al. High mobility group[corrected]box 1 mediates neutrophilrecruitment in myocardial ischemia-reperfusion injury throughtoll like receptor 4-related pathway[J]. Gene, 2012, 509: 149-153. DOI:10.1016/j.gene.2012.07.072 |
| [8] | Akira S, Uematsu S, Takeuchi O. Pathogen recognition andinnate immunity[J]. Cell, 2006, 124: 783-801. DOI:10.1016/j.cell.2006.02.015 |
| [9] | Tabuchi A, Estevez M, Jennifer A, el at. Nuclear translocation of the SRF co-activator MAL in cortical neurons:role of RhoA signaling[J]. Jo Neurochem, 2005, 94(1): 169-180. DOI:10.1111/j.1471-4159.2005.03179.x |
| [10] | Liu N, Olson EN. Coactivator control of cardiovascular growth and remodeling[J]. Curr Opin Cell Biol, 2006, 6: 715-722. DOI:10.1016/j.ceb.2006.10.003 |
| [11] | Parmacek MS. Myocardin-related transcription factors:critical coactivators regulating cardiovascular development and adaptation[J]. Circ Res, 2007, 100(5): 633-644. DOI:10.1161/01.RES.0000259563.61091.e8 |
| [12] | Miralles F, Posern G, Zaromytidou AI, et al. Actin dynamics control SRF activity by regulation of its coactivator MAL[J]. Cell, 2003, 113(3): 329-342. DOI:10.1016/S0092-8674(03)00278-2 |
| [13] | Zhong Z, Hu JQ, Wu XD, et al. Anti-apoptotic effects of myocardin-related transcription factor-A on rat cardiomyocytes following hypoxia-induced injury[J]. Can J Physiol Pharmacol, 2016, 94(4): 379-87. DOI:10.1139/cjpp-2014-0461 |
| [14] | Knöll B, Nordheim A. Functional versatility of transcription factors in the nervous system:the SRF paradigm[J]. Trends Neurosci, 2009, 32(8): 432-442. DOI:10.1016/j.tins.2009.05.004 |
| [15] | He H, Wang D, Yao H, et al. Transcriptional factors p300 and MRTF-A synergistically enhance the expression of migration-related genes in MCF-7 breast cancer cells[J]. Biochem Biophys Res Commun, 2015, 467(4): 813-820. DOI:10.1016/j.bbrc.2015.10.060 |
| [16] | Kuwahara K, Kinoshita H, Kuwabara Y, et al. Myocardinrelated transcription factor A is a common mediator of mechanical stress-and neurohumoral stimulation-induced cardiac hypertrophic signaling leading to activation of brain natriuretic peptide gene expression[J]. Mol Cell Biol, 2010, 17: 4134-4148. DOI:10.1128/MCB.00154-10 |
| [17] | Sun Y, Boyd K, Xu W, et al. Acute myeloid leukemiaassociated Mkl1(Mrtf-a) is a key regulator ofmammary gland function[J]. Mol Cell Biol, 2006, 26(15): 5809-5826. DOI:10.1128/MCB.00024-06 |
| [18] | Shaposhnikov D, Descot A, Schilling J, et al. Myocardin-related transcription factor A regulates expression of Bok and Noxa and is involved in apoptotic signalling[J]. Cell Cycle, 2011, 11(1): 141-150. DOI:10.4161/cc.11.1.18499 |
| [19] | 陈国雄, 王红娜, 房兆飞, 等. 选择性冠脉内应用替罗非班及异搏定对急诊冠脉介入治疗术中无复流现象的临床研究[J]. 中华急诊医学杂志, 2018, 27(11): 1299-1302. DOI:10.3760/cma.j.issn.1671-0282.2018.11.026 |
2019, Vol. 28



