失血性休克是临床的急危症之一,主要表现血容量急剧降低引起的急性全身循环的血流动力学改变,严重者可危及患者生命。临床发现,失血性休克导致急性脑梗死的患者很多见,但目前对失血性休克导致脑梗死的报道较少。本研究通过对失血性休克导致急性脑梗死患者临床观察,旨在探讨失血性休克导致脑梗死的临床特点及影像学分析。现将河南省人民医院神经内科2013年6月至2017年6月收治失血性休克导致脑梗死患者38例进行分析,报道如下。
1 资料与方法 1.1 一般资料本组38例,其中男22例,女16例,年龄(56±5.3)岁,高血压病23例、高脂血症15例,糖尿病10例。发病时35例收血压 < 70 mmHg(1 mmHg=0.133 kPa),休克指数≥1.5[脉率/收缩压(mmHg)][1],多数持续0.5 h,少数持续时间较长,3例血压为测不到。所有患者均符合1995年全国第四届脑血管疾病学术会议通过的脑梗死诊断标准[2],头部MRI检查确诊为急性脑梗死,MRA证实脑血管无重度狭窄。无严重疾病,如肺性脑病、肝性脑病等。休克病因:①长期服用阿司匹林致消化道出血12例(31.5%);②肝硬化致消化道出血10例(26.4%);③外伤16例(42.1%)。
1.2 临床特点观察入院时患者意识模糊31例,其他表现:呼吸表浅,四肢湿冷,心音低钝,脉细数而弱或摸不清。35例收缩压 < 70 mmHg,3例血压测不到。经紧急扩容、吸氧、血管活性药物等治疗1 d后,肢体偏瘫21例(55.2%);偏身感觉障碍14例(36.8%);头晕23例(60.5%),共济失调18例(47.3%);饮水呛咳8例(21%);视觉障碍5例(13.1%);运动性失语6例(15.7%);感觉性失语4例(10.5%);混合型失语3例(7.9%)。1个月时,肢体偏瘫10例(26.3%);偏身感觉障碍6例(15.8%);共济失调8例(21.1%)视觉障碍3例(7.9%);感觉性失语1例(2.6%)。2个月时,肢体偏瘫8例(21%);偏身感觉障碍4例(10.5%);视觉障碍3例(7.9%);感觉性失语1例(2.6%)。3个月时和2个月时没有明显变化。
2 结果根据MRI显示的病灶部位,发现失血性休克导致的脑梗死,梗死灶多数在双侧的分水岭区,少数呈点状散乱分布(图 1)。根据Bogousslavsky[3]对脑分水岭梗死的分型:皮质前型、皮质后型、皮质下型。多数患者为皮质后型,其次为皮质下型,再者为皮质前型。参照牛津郡社区脑卒中项目(OCSP)分型标准[4]进行分组:前循环梗死、后循环梗死、全循环梗死。对比观察梗死灶在首次、1个月、2个月、3个月后在MRI上的变化。入院时,前循环梗死28例(73.6%),后循环梗死33例(86.8%), 全循环23例(60.5%)。1个月时,27例梗死灶明显缩小伴部分梗死灶影像上消失,11例梗死灶部分缩小伴部分梗死灶影像上消失。2个月时,26例遗留小的陈旧性腔梗,其中前循环18例,后循环23例,全循环15例。3个月时和2个月时比较,没有明显变化。
|
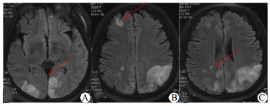
| A、B、C为同一患者多层面的图像,患者,男性,50岁,多发伤致失血性休克,入院时昏迷状态,脉搏、血压测不到,紧急手术输血、输液,1 d后恢复意识,诉视物模糊,MRI示多发性脑梗死 图 1 患者头部MRI检查结果 |
|
|
失血性休克是指急性失血,导致有效循环系统量骤减而引起的周围循环系统衰竭[5]。失血性休克时,当血容量不足超越代偿功能时,就会呈现休克的临床表现:皮肤苍白、冰凉、湿冷,心动过速,呼吸急促,外周静脉不充盈,颈静脉搏动减弱,尿量减少,神志改变,血压下降等。当血容量进一步降低时,脑部血供得不到维持时,就会发生脑梗死。脑梗死是指因脑部血液供应障碍,缺血、缺氧所导致的局限性脑组织的缺血性坏死或软化[6]。而脑梗死常见的病因有脑血栓形成、脑栓塞等。
在本组梗死病因则是失血性休克引起的,多数为多发双侧的分水岭区梗死,少数呈点状散乱分布的梗死,及时治疗,1个月后多数恢复良好,在影像上表现为梗死灶消失或梗死范围减小。少数患者因缺血时间太长,遗留偏瘫、偏身感觉障碍,视觉障碍等。临床上常见的脑梗死以前循环多见,但失血性休克引起的脑梗死以后循环多见且恢复慢,常遗留视觉障碍。本组中梗死灶多数在双侧的分水岭区,多数预后良好。分水岭梗死指发生在2条或3条脑主要动脉末梢交界区的脑梗死,其发病率约占缺血性卒中的10%[7], 低血压和低血容量是引起脑分水岭梗死最常见的病因,如果能得到及时治疗,预后良好[8]。本组其原因可能是,失血性休克时脑血流急剧地灌注不足,使脑组织缺血处在电衰竭阈,并没有达到膜衰竭阈[9],在膜衰竭之前及时恢复灌注,脑组织很快恢复活性。本组中后循环后梗死[10]更多见且恢复也较前循环慢,其原因可能包括:(1)后循环区域血管交感神经纤维较前者少,在血流动力学急剧变化时,保护性血管收缩功能丧失[11]。(2)研究表明椎动脉发育不良与后循环TIA和后循环梗死有关,是相关危险因素[12-14]。(3)高血压病、血脂异常,糖尿病等这些危险因素与后循环梗死有关[15-16],3种因素相互作用下最终导致后循环的梗死。但目前并没有实验证据证明后循环梗死与后循环交感神经分布少有关,仍需要进一步研究。
综上所述,失血性休克导致的脑梗死是临床的急危重症。以后循环梗死更多且常较重,并常遗留视觉障碍。休克时患者的临床特征如意识不清、呼吸表浅,四肢湿冷,心音低钝,脉细数而弱或无法探及等很容易观察到,医务人员常常忙于输血、补液、纠正酸中毒、血管活性药物的应用等治疗,而忽略了脑梗死的治疗。等发现患者出现脑梗死的临床表现时,往往已经错过了治疗脑梗死的最佳时机。因此,医务人员在抢救失血性休克时,一定要考虑到其导致的脑梗死,做到早期诊断,及时治疗。
| [1] | 胥伶杰, 徐军. 休克指数在急诊病情判断中的作用[J]. 临床急诊杂志, 2011, 12(1): 69-71. DOI:10.3969/j.issn.1009-5918.2011.01.031 |
| [2] | 中华医学会全国第四届脑血管病学术会议. 各类脑血管疾病诊断要点[J]. 中华神经科杂志, 1996, 29(6): 60-61. |
| [3] | Bogousslavsky J. Unilateral watershed cerebral infarcts[J]. Neurology, 1986, 36(3): 373-377. DOI:10.1212/WNL.36.3.373 |
| [4] | Bamford J, Sandercock P, Dennis M, et al. Classification and natural history of clinically identifiable subtypes of cerebral infarction[J]. Lancet, 1991, 337: 1521-1526. DOI:10.1136/jnnp.51.11.1373 |
| [5] | 肖振球.失血性休克[C].南宁: 第十七届中国中西医结合学会大肠肛门病专业委员会学术会议暨第三届全国结直肠肛门外科微创学术交流会论文集. 2014: 388-392. |
| [6] | 中华医学会神经病学分会脑血管病学组缺血性脑卒中二级预防指南撰写组. 中国缺血性脑卒中和短暂性脑缺血发作二级预防指南2010[J]. 中华神经科杂志, 2010, 43(2): 154-160. DOI:10.3760/cma.j.issn.1006-7876.2010.02.023 |
| [7] | Rovira A, Grivé E, Rovira A. Distribution territories and causative mechanisms of ischemic stroke[J]. Eur Radiol, 2005, 15(3): 416-426. DOI:10.1007/s00330-004-2633-5 |
| [8] | 聂志余. 重视脑分水岭梗死[J]. 中国卒中杂志, 2006, 1(4): 243-245. DOI:10.3969/j.issn.1673-5765.2006.04.002 |
| [9] | 陈星荣, 沈天真. 脑梗死的影像学[J]. 中国医学计算机成像杂志, 2000, 6(1): 2. DOI:10.3969/j.issn.1006-5741.2000.01.002 |
| [10] | 施国文, 熊昕丽, 林岩, 等. 后循环梗死的临床表现分析[J]. 中华内科杂志, 2008, 47(5): 393-396. DOI:10.3321/j.issn.0578-1426.2008.05.013 |
| [11] | 欧明辉. 可逆性后部白质脑病综合征[J]. 中国实用神经疾病杂志, 2008, 11(6): 134-135. DOI:10.3969/j.issn.1673-5110.2008.06.086 |
| [12] | Passero S. Posterior circulation infarcts in patients with vertebrobasilar dolichoectasia[J]. Stroke, 1998, 29(3): 653-659. DOI:10.1161/01.STR.29.3.653 |
| [13] | Passero SG, Rossi S. Natural history of vertebrobasilar dolichoectasia[J]. Neurology, 2008, 70(1): 66-72. DOI:10.1212/01.wnl.0000286947.89193.f3 |
| [14] | Ubogu EE. Vertebrobasilar dolichoectasia diagnosed by magnetic resonance angiography and risk of stroke and death: a cohort study[J]. J Neurol Neurosurg Psychiatry, 2004, 75(1): 22-26. |
| [15] | Caplan LR, Wityk RJ, Glass TA, et al. New England Medical Center Posterior Circulation registry[J]. Ann Neurol, 2004, 56(3): 389-398. DOI:10.1002/ana.20204 |
| [16] | Di Carlo A, Lamassa M, Baldereschi M, et al. Risk factors and outcome of subtypes of ischemic stroke Data from a multicenter multinational hospital-based registry The European Community Stroke Project[J]. J Neurol Sci, 2006, 244(1/2): 143-150. DOI:10.1016/j.jns.2006.01.016 |
2018, Vol. 27



