患者,男,60岁,主因“突发胸骨下段疼痛半小时”于2016年5月14日入北京大学首钢医院急诊科。患者2016年5月14日午餐时突发呛咳,继而出现胸骨下段、剑突下疼痛,平卧时加重,稍感胸闷,无心悸、出汗,无恶心、呕吐等症状,于发病后半小时就诊于本科。既往史:“高血压病,腔隙性脑梗死”。2年前因“心前区不适”行冠状动脉造影术,管腔未见严重狭窄。期间曾口服阿司匹林,出现上腹部不适,遂停药。1年前我院行胃镜检查,诊断“胃炎”,后未正规治疗。入院体格检查:体温36.7℃,血压160/110 mmHg(1 mmHg=0.133 kPa)(右侧),150/100 mmHg(左侧),SPO2 98%。意识清楚、睑结膜无明显苍白,巩膜无黄染,口唇无发绀。双肺呼吸音清,对称,未闻及干、湿性啰音。心律齐,心率81次/min,未闻及病理性杂音。腹平软,无腹壁静脉曲张,无压痛及反跳痛,未触及包块,肝、脾未触及,Murphy's征阴性。双下肢无可凹性水肿。入院后立即给予吸氧、心电监护、开通静脉。完善心电图、血常规、急诊生化、心梗三项、凝血分析等检查。心电图提示未见明显异常。血常规:白细胞8.1×109/L、中性粒细胞比率85.9%、红细胞5.03×1012/L、血红蛋白165 g/L。急诊生化未见明显异常。心梗三项:阴性。凝血分析:D二聚体0.2 mg/L(正常 < 1 mg/L)。给予抑酸、保护胃黏膜,扩冠、改善循环及对症支持治疗。给予上述治疗后,患者症状稍缓解。期间复查动态心电图均未见动态演变。
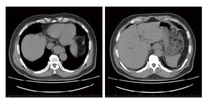
病情演变:入院后6 h患者再次出现胸骨下段、剑突下疼痛阵发加剧,伴恶心、呕吐少量暗红色血性液体,量约10 mL;胸闷较前无明显加重。复查血常规、生化、心梗三项、D二聚体。血常规:血红蛋白150 g/L。心梗三项阴性。D二聚体0.1 mg/L。诊断上消化道出血,予禁食水、抑酸、补液及对症支持治疗。请消化科会诊,综合考虑患者目前情况行急诊胃镜检查风险高,故先行腹部CT检查,见食管下段管腔狭窄,贲门胃底处可见一椭圆形略高密度影,胃内大量内容物,考虑食道裂孔疝可能(图 1)。结合目前检查,诊断:上消化道出血,急性胃潴留,食道裂孔疝?。在上述治疗基础上继续给予解痉、止痛、胃肠减压及对症支持治疗;请胸外科会诊,结合症状、体征及辅助检查,目前食道裂孔疝诊断不明确,建议观察。经过上述治疗后患者症状缓解仍不明显。后在取得患者及家属知情同意后,在严密监护下行急诊胃镜检查可见:食道大面积黏膜下出血,食管25~40 cm左侧壁可见一条状血肿改变,延至贲门口(图 2)。后收入院,给予禁食、抑酸、止血及对症支持治疗,患者胸痛、腹痛逐渐缓解。定期复查血常规,血红蛋白稳定。2016年5月23日出院随访,自觉无不适,拒绝复查胃镜。
|
| 食管下段管腔狭窄,贲门胃底处可见一椭圆形略高密度影,胃内大量内容物 图 1 患者腹部CT结果 |
|
|
|
| 见食道大面积黏膜下出血,食管25~40 cm左侧壁可见一条状血肿样变,延至贲门口 图 2 患者急性胃镜检查结果 |
|
|
追问病史:患者既往进食较急,发病前曾进食拔丝红薯坚硬食物且进食时有咳嗽,造成食道黏膜损伤。结合患者临床症状、体征及辅助检查,食道裂孔疝诊断不成立,最终确诊食管黏膜下血肿。
2 讨论食管黏膜下血肿(esophageal submucosal hematoma)也称食管血肿,1957年由Williams首次报道[1],其后国内陆续有病例报道。是引起上消化道出血的罕见病因之一,作为临床中少见的一种急危重症疾病,需引起临床医师,尤其是急诊科医师的重视,避免漏诊、误诊。
该病发病的必要条件是食管管腔内压力骤然增高,多数有明确诱因。(1)损伤:如食管异物,快速进食大块粗糙食物引起食管壁损伤,内镜治疗[2]等;(2)食管内压急剧改变:如剧烈呕吐、呃逆等;(3)凝血功能障碍:血液系统疾病,服用抗凝剂或抗血小板药物者[3-4],肾功能不全毛细血管脆性增加,Ⅴ、Ⅶ凝血因子缺乏导致凝血功能障碍[5]等;(4)其他疾病:食管癌、食道裂孔疝等;(5)特殊治疗:如心房颤动消融术等[6];(6)自发性:可能与食管壁内小血管发育异常或凝血功能障碍有关。部分学者提出食管黏膜下血肿是贲门黏膜撕裂综合征与食管破裂综合征的中间状态[7]。
该病常见临床表现包括突发胸骨后疼痛、上腹痛、吞咽困难、背痛等,血肿破裂可引起上消化道出血[3, 8],其中以胸痛最为常见,其次为消化道出血和吞咽痛或吞咽困难[9]。临床诊断中需要与急性心肌梗死、心绞痛、肺栓塞、食管穿孔、气胸、主动脉夹层等鉴别,而该疾病患者胸痛与饮食呈正相关,有助于与心肺系统疾病相鉴别。
电子胃镜可确诊该病,无禁忌证时应尽早行胃镜检查以明确病变部位、性质和范围,必要时可行内镜下止血治疗。胃镜下特征性表现为:食管管腔内可见与食管纵轴平行的条状黏膜下隆起,表面不光滑。需注意胃镜检查时不能取活检,否则会加重出血。胸部CT检查也是诊断该病的重要检查之一,具有速度快、无创等特点,更易被患者接受,CT主要表现为同心圆或偏心性食管壁增厚,可清晰显示血肿与周围其他组织的关系[10]。
食管黏膜下血肿一般不累及肌层,因此治疗以内科保守治疗为主[11]。治疗手段包括禁食水、抑酸、止血、保护食管、胃黏膜及对症支持治疗,血肿通常会在2~3周内可自行吸收,预后良好。但如果发生严重并发症,如食管破裂,其病死率高达10%~50%,因此治疗过程中需密切观察有无呼吸困难、皮下气肿等。
本文病例给急诊科医师几点提示:(1)患者就诊时未能提供明确诱因(确诊后追问病史,诉有平素进食较急,发病前曾进食拔丝红薯等坚硬食物且进食时有咳嗽)。(2)胸痛患者一定首先除外心、肺等致命性疾病,其次如果患者发病前有明确诱因,且出现呕血、胸痛、上腹痛、吞咽困难等,应警惕该病可能,尤其合并凝血功能障碍、使用抗凝、抗血小板药物及慢性肾功能不全等中老年患者,做到早期诊断、早期治疗。(3)患者出现胸骨下段、剑突下疼痛,疑诊该疾病时,条件许可的情况下应尽快完善胸、腹CT检查,避免临床误诊、漏诊。
| [1] | Williams B. Case report; oesophageal laceration following remote trauma[J]. Br J Radiol, 1957, 30(360): 666-668. DOI:10.1259/0007-1285-30-360-666 |
| [2] | Lukashok HP, Robles-Medranda C, Santana Mde A, et al. Intramural esophageal hematoma after elective injection sclerotherapy[J]. Arq Gastroenterol, 2009, 46(4): 279-283. DOI:10.1590/S0004-28032009000400006 |
| [3] | 丁雪丽, 荆雪, 于亚男, 等. 食管黏膜下巨大血肿2例并文献复习[J]. 胃肠病学, 2017, 22(2): 126-128. DOI:10.3969/j.issn.1008-7125.2017.02.017 |
| [4] | 高志国. 应用华法林引起食管黏膜下血肿三例报告[J]. 中国全科医学, 2012, 15(31): 3679-3680. DOI:10.3969/j.issn.1007-9572.2012.31.036 |
| [5] | 史雪琴, 李莉, 刘瑞, 等. 慢性肾功能衰竭并发食管血肿4例报告[J]. 实用医院临床杂志, 2009, 6(4): 154. DOI:10.3969/j.issn.1672-6170.2009.04.074 |
| [6] | McCall R, Thomas SP. Esophageal hematoma complicating catheter ablation for atrial fibrillation[J]. Cardiovasc Electrophysiol, 2009, 20(2): 221-223. DOI:10.1111/j.1540-8167.2008.01272.x |
| [7] | Choi H, Yan Kang H, Song IH, et al. Intramural perforation with hematoma of the esophagus[J]. Clin Res Hepatol Gastroenterol, 2012, 36(2): 101-102. DOI:10.1016/j.clinre.2011.10.001 |
| [8] | 朱国玲, 王巍峰, 范开春, 等. 胃镜联合超声胃镜诊断食管、胃底黏膜下血肿1例及文献复习[J]. 军医进修学院学报, 2012, 33(8): 897-899. DOI:10.3969/j.issn.1005-1139.2012.08.037 |
| [9] | Quintero AM, Gaviria ME, Balparda JK, et al. Intramural esophagic hematoma secondary to coumarinic anticoagulation: a case report[J]. Cases J, 2009, 2: 9368. DOI:10.1186/1757-1626-2-9368 |
| [10] | 张爱伟, 周海生, 贾国葆, 等. 食管黏膜下血肿的CT检查特征[J]. 中华消化外科杂志, 2014, 13(8): 654-657. DOI:10.3760/cma.j.issn.1673-9752.2014.08.017 |
| [11] | Dagli SU, Beyazit Y, Kurt M, et al. Esophageal hematoma mimicking downhill varices: resolution after esomeprazole therapy[J]. Gastroenterol Nurs, 2010, 33(3): 236-237. DOI:10.1097/SGA.0b013e3181e37aa9 |
2018, Vol. 27



