患者,男性,45岁,有长期在老挝居住史,1个月前回本地。因"纳差乏力5 d,少尿伴反应迟钝1 d"入院。否认糖尿病、高血压、腹部外伤及手术病史。有吸食毒品史数年,自行戒毒1个月余。1个月前有牙齿修补术病史,术后曾出现一过性胸闷及乏力感,当时未就诊治疗。5 d前无明确诱因下出现明显纳差乏力,1 d前在外院就诊,查血肌酐正常,未测血糖。近1 d来症状加重,伴尿量减少,反应迟钝,夜间急诊来台州市中心医院就诊。入院查体:体温37.2℃,心率147次/min,呼吸37次/min,血压88/60 mmHg(1 mmHg=0.133 kPa),氧饱和度100%。神志不清,双侧瞳孔直径0.25 cm,对光反射存在,心律齐,未闻及明显杂音,呼吸音清,未闻及啰音,腹平软,无明显压痛及反跳痛,双下肢无水肿,肢端皮温低,四肢存在自主活动,巴氏征阴性。辅助检查:白细胞计数10.5×109/L,中性粒细胞90.7%,血小板计数280×109/L,超敏C反应蛋白134.00 mg/L;血钠157 mmol/L,白蛋白28.4 g/L,淀粉酶290 U/L,全血葡萄糖76.14 mmol/L,血酮体7.6 mmol/L。血清肌酐443 μmol/L,尿素氮26.3 mmol/L;降钙素原33.74 ng/ml;血气分析:氧饱和度96.3%,血乳酸5.5 mmol/L,pH 7.150,PCO2 12.2 mmHg,PO2 111.0 mmHg,实际碳酸氢根4.1 mmol/L,实际剩余碱-24.9 mmol/L。全腹部CT示,肠系膜上静脉及门静脉远端属支多发积气,肠道水肿不明显(图 1)。入院诊断:休克:感染性休克?、糖尿病高渗性昏迷、糖尿病酮症酸中毒、急性肾功能不全、血流感染?
|
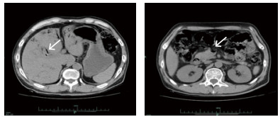
| 图 1 入院时CT检查结果 |
|
|
入院后在中心静脉压、有创动脉血压、每小时尿量、血气分析等严密监测下扩容补液、纠正酸中毒、亚胺培南西司他丁钠针联合利奈唑胺针抗感染、持续性血液净化纠正内环境等综合治疗后,病情逐渐好转,尿量增加,酸中毒纠正,肾功能恢复,血钠、血酮体降至正常,血糖控制在10 mmol/L以下。入院后第2天发现患者右上肢肢端温度低,右拇指发黑,血管超声示右上肢肱动脉远心端管腔闭塞,食道超声提示主动脉瓣近无冠瓣基底部可见4 mm×4 mm中等回声。入院第3天复查CT示肠系膜上静脉及门静脉积气消失(图 2)。入院第4天血培养回报:左侧外周为产气肠杆菌,右侧外周为草绿色链球菌,根据药敏结果调整抗菌药物为头孢曲松针联合左氧氟沙星针治疗,患者病情逐渐好转后出院。
|
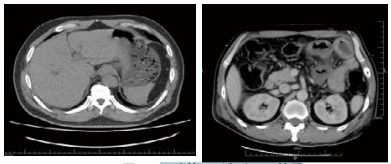
| 图 2 入院第3天复查CT结果 |
|
|
讨论 肝门静脉系统主要由脾静脉和肠系膜上静脉汇合而成。其属支主要包括脾静脉、肠系膜上静脉、肠系膜下静脉、胃左静脉、胃右静脉、胆囊静脉和附脐静脉等。肝门静脉内无瓣膜,主要收集食管腹段、胃、小肠、大肠(至直肠上部)、胰、胆囊和脾等处的血液[1-2]。
肠系膜上静脉及门静脉积气常继发于肠道缺血性或坏死性疾病的并发症,门静脉积气形成有如下几种假说[3-6]:(1)消化道扩张、肠梗阻等引起肠管内压力增加,肠道缺血坏死、溃疡性结肠炎等使肠黏膜水肿、坏死,黏膜屏障破坏使得肠腔内气体渗入肠壁,沿着肠壁小静脉进入肠系膜血管血流进入门静脉系统。(2)肝移植、脓毒性肠系膜炎、腹腔的产气肠杆菌感染波及肠道黏膜或小静脉,进而气体进入门静脉系统,即静脉内产气细菌感染造成门静脉积气。(3)体外气体直接进入肝内门静脉系统,如肝穿刺、肝肿瘤射频消融治疗等。全腹部CT为临床早期诊断提供了客观的影像学依据,被作为诊断门静脉积气首要检查手段。病因查找对于门静脉积气治疗极为重要,若临床急腹症表现明显,CT可见肠道梗阻、肠道坏死表现,治疗上宜尽早行手术治疗,切除病变或坏死肠道,术后予抗感染治疗。但如果是产气细菌感染入血引起,而生命体征平稳、无肠道坏死表现,可严密观察下积极治疗原发病,予胃肠减压、抗感染、补液等保守治疗[7]。
本例患者出现肠系膜上静脉及门静脉远端积气,考虑系糖尿病酮症酸中毒、高渗性昏迷合并感染性心内膜炎,心脏感染性栓子脱落引起肠系膜动脉栓塞,导致肠道缺血损伤继发肠道产气肠杆菌感染,大量气体产生进入肠系膜上静脉及门静脉系统;或者肠道缺血损伤,肠壁通透性增高,肠道内产气细菌经血流进入门静脉系统,在局部繁殖产气引起。其腹部CT提示十二指肠水平部、升部及上段空肠局部肠壁肿胀,符合肠道缺血性改变,但后续治疗过程未见明显肠道坏死表现,故只行抗感染等保守治疗[7]。
该患者有长期吸毒、罹患糖尿病等病史,存在免疫功能低下基础,牙齿修补术时细菌入血导致血流感染,细菌性心内膜炎,加之未及时诊治,使得病情进一步发展,导致多部位感染性栓子栓塞。糖尿病急性并发症合并感染性心内膜炎在临床上较为少见,其中并发门静脉系统积气者更为罕见。其病因复杂,病情危重,进展速度快,易合并多脏器功能不全,预后较差,故早期及时准确地诊断,明确病因,积极、有效的多学科配合治疗尤为重要,可大大提高疾病的治愈率。
| [1] | 彭裕文. 局部解剖学[M]. 7版. 北京: 人民卫生出版社, 2005: 110-111. |
| [2] | 蔡庆虎, 张燕绒, 张海容, 等. 缺血性肠病所致肝门静脉和肠壁积气的螺旋CT影像特征与诊断价值[J]. 中华肝胆外科杂志, 2017, 23(5): 298-298. DOI:10.3760/cma.j.issn.1007-8118.2017.05.002 |
| [3] | 李水连, 郭永飞, 余水全, 等. 急性缺血性肠病应首选多排螺旋CT检查[J]. 中国临床医学影像杂志, 2013, 24(9): 665-667. DOI:10.3969/j.issn.1008-1062.2013.09.017 |
| [4] | Nelson A, Millington TM, Sahani D, et al. Hepatic portal venous gas:the ABCs of management[J]. Ann Surg, 2009, 144: 575-581. |
| [5] | Abboud BE, Hechem J, Yazbeck T, et al. Hepatic portal venous gas: Physiopathology, etiology, prognosis and treatment[J]. World J Gastroentorol, 2009, 15(29): 3585-3590. DOI:10.3748/wjg.15.3585 |
| [6] | 张春, 邸莹, 高洁, 等. 门静脉积气合并脓毒性休克休克一例[J]. 中华外科杂志, 2017, 55(3): 239-240. DOI:10.3760/cma.j.issn.0529-5815.2017.03.016 |
| [7] | 缺血性肠病诊治中国专家建议(2011)写作组, 中华医学会老年医学分会, 《中华老年医学杂志》编辑委员会. 老年人缺血性肠病诊治中国专家建议(2011)[J]. 中华老年医学杂志, 2011, 30(1): 1-6. DOI:10.3760/cma.j.issn.02540026.2011.01.001 |
2018, Vol. 27

