2. 宁波大学医学部,宁波 315211;
3. 浙江大学医学院附属儿童医院神经外科 国家儿童健康与疾病临床医学研究中心,杭州 310052
间脑综合征(diencephalic syndrome, DS)是一种非常罕见的神经内分泌功能障碍疾病,易发生于婴幼儿期,通常与下丘脑-视交叉区域的中枢神经系统肿瘤(多为低级别胶质瘤)相关[1-2]。其以消瘦或体重不增、运动过度、欣快、呕吐、眼球震颤为主要特征[3-4],其次有面色苍白, 低血糖, 低血压等非典型表现[1],患儿生长和智力发育正常。DS神经系统症状出现较晚且不典型,多因体重不增被误认为是消化吸收不良或其他内分泌紊乱,容易导致误诊或延迟诊断。本文总结5例DS病例,并进行文献复习,描述DS临床特征、治疗方案、手术前后内分泌激素变化、中长期随访及预后,为DS的临床诊治提供借鉴。
1 资料与方法回顾性分析2017年1月至2023年12月收治的5例DS患儿的临床特征、辅助检查、诊治经过及预后随访等资料。本研究经浙江大学医学院附属儿童医院医学伦理委员会批准(伦理批号:2024-IRB-0388-P-01)。
查阅患儿的门诊及住院电子病历,收集患儿一般情况包括性别、年龄、现病史、个人史、既往史、家族史,就诊时的体格检查(包括生命体征、身高、体重、视力视野情况、四肢肌力等)、手术前后实验室检查(特别是内分泌激素)、影像学检查、治疗方案、病理学结果以及中长期随访结果。
采用描述性分析,计数资料以例(%)表示,非正态分布计量资料用中位数+(范围)描述。
2 结果 2.1 一般情况5例DS患儿中男3例,女2例,临床表现包括不同程度的消瘦(5/5),就诊时的年龄别体重Z评分(weight-for-age Z-score,WAZ): -2.51~-4.31;视力视野受损(4/5,其中双侧视野完全缺失2例,单侧视野完全缺失1例,单侧视力模糊1例);斜视(1/5);眼球震颤(2/5);呕吐(2/5);嗜睡(1/5);偏瘫(1/5);低血压(1/5)。发病年龄2~37个月,延迟诊断时间2~12个月(表 1)。5例患儿出生史、既往史、家族史均正常。
| 项目 | 病例1 | 病例2 | 病例3 | 病例4 | 病例5 |
| 性别 | 女 | 男 | 女 | 男 | 男 |
| 就诊年龄(月) | 10 | 12 | 7 | 43 | 49 |
| 就诊身高(cm)(HAZ) | 71(-0.21) | 74(-0.75) | 63.5(-2.19) | 105(+0.86) | 106(+0.32) |
| 就诊体重(Kg)(WAZ) | 6.0(-2.92) | 6.5(-3.53) | 4.65(-4.31) | 11.5(-2.51) | 12(-2.54) |
| 主诉 | 消瘦、眼球震颤 | 纳差、眼球震颤 | 喂养困难 | 体重不增、呕吐、斜视 | 呕吐、右肢乏力、嗜睡 |
| 确诊时鞍区肿瘤大小(cm×cm) | 4.8×2.8 | 4.5×3.5 | 5.4×6.4 | 5.3×5.2 | 4.9×5.1 |
| 病理诊断 | PA | PA | PMA | PA | GG |
| 治疗(手术+化疗+用药) | 病损切除+CV方案 | 病损切除+CV方案,曲美替尼片,内分泌激素替代 | 病损切除+CV方案 | 病损切除+CV方案,内分泌激素替代 | 病损切除+CV方案联合贝伐珠单抗 |
| 术前随机GH(ng/mL) | 2.32 | 3.12 | 22.2 | 23 | 3.43 |
| 术后内分泌激素改变 | 正常 | 多垂体激素缺乏(ACTH、TSH、AVP、GH) | 正常 | 多垂体激素缺乏(ACTH、TSH、AVP) | 正常 |
| 术后随访(月) | 16 | 73 | 8 | 12 | 40 |
| 随访时情况 | |||||
| 一般情况 | 视力正常 | 失明 | 失明 | 右眼无光感 | 右视力模糊 |
| 身高cm(HAZ) | 88(-0.05) | 109(-2.49) | 73(-2.01) | 110(+0.34) | 140(+2.92) |
| 体重kg(WAZ) | 10.5(-1.02) | 24(+0.27) | 6.3(-3.71) | 14.5(-1.51) | 57.4(+6.24) |
| 身高增长(HAZ) | +0.16 | -1.74 | +0.18 | -0.52 | +2.6 |
| 体重增长(WAZ) | +1.9 | +3.8 | +0.6 | +1.0 | +8.78 |
| 注:PA(Pilocytic astrocytoma)为毛细胞星形细胞瘤,PMA(Pilomyxoid astrocytoma)为毛细胞黏液样星形细胞瘤,GG(Ganglioglioma)为节细胞胶质瘤,CV(Carboplatin and Vincristine)为卡铂+长春新碱,ACTH(Adreno-cortico-tropic hormone): 促肾上腺皮质激素,TSH(Thyroid stimulating hormone)为促甲状腺激素,AVP(Arginine vasopressin)为精氨酸加压素,GH(Growth hormone)为生长激素,HAZ(Height-for-age Z-score)为年龄别身高Z评分 | |||||
5例患儿术前均进行实验室相关检查(包括三大常规、血气分析、血糖、生化全套、肿瘤标志物、结核斑点试验、食物过敏源测定、腹部及心脏彩超、遗传代谢谱等均未见明显异常),重点对内分泌激素(包括性激素、甲状腺激素、生长激素、类胰岛素生长因子1、皮质醇)进行评估。2例患儿术前随机生长激素GH水平分别为22.2 ng/mL和23 ng/mL,明显高于正常范围(参考值0~10 ng/mL)。
5例患儿均行头颅MRI平扫和增强、全脊髓MRI,均为鞍区/鞍上池囊实混杂不规则信号影,主体呈长T1长T2信号,增强后肿块实性部分强化明显,囊样部分未见强化。5例患儿肿瘤中位最大直径5.1(4.5, 6.4) cm。例1伴脑内、脊髓前后缘多发转移灶。例2未见脊髓转移灶。例3伴脑积水、脑脊液播散(右外侧裂池、延髓前部、小脑扁桃体旁、颈椎椎管内多发转移)、下胸腰骶部脊膜、延髓、颈胸部脑脊膜多发转移灶。例4伴脑积水,视角叉、视束显示不清,脊髓内未见转移。例5伴脑积水、右侧颞叶及C1椎体内转移灶。
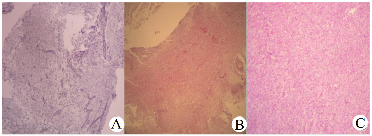
2.3 治疗方案及预后随访5例患儿确诊后均行鞍区肿块次全切术,术后病理结果均为低级别胶质瘤,病例1、2、4为毛细胞星形细胞瘤;病例3为毛细胞黏液样星形细胞瘤,病例5为节细胞胶质瘤。见图 1。
|
| 注:A为病例3,毛细胞黏液样星形细胞瘤;B为病例4,毛细胞星形细胞瘤;C为病例5,节细胞胶质瘤: 镜下见胶质细胞增生,弥漫分布,可见散在神经节细胞 图 1 3例DS患儿病理学结果 |
|
|
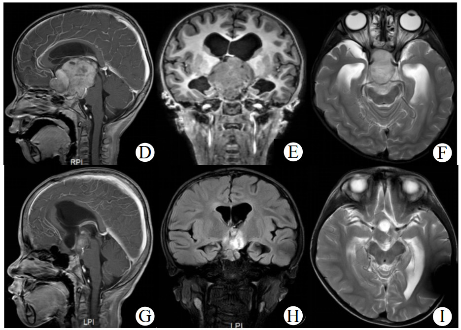
病例1、3、4术后复查肿瘤体积缩小分别为20%、11.7%、42.0%,术后予CV方案化疗,并分别在化疗14个月、8个月、12个月复查较术后肿瘤体积再次缩小10.5%、35%和45.0%。病例2术后拒绝化疗,随访1.5年后复发行2次手术,术后予CV方案化疗结束9个月再次复发,查BRAF基因示KIAA1549-BRAF融合,予靶向药物(曲美替尼片)治疗9个月复查头颅MRI示肿瘤体积较前基本相仿。病例5术后予CV方案联合贝伐珠单抗治疗14个月,化疗结束时复查头颅MRI示肿瘤(2.5 cm×2.4 cm)体积较术后缩小65%,随访25个月复查肿瘤体积(2.8 cm×3.3 cm)较化疗结束时增大54%。其中病例4患儿手术+CV方案治疗后肿瘤体积缩小最明显(图 2)。
|
| 注:术前(D、E、F)与化疗12月(G、H、I)头颅增强MRI:D、E、F可见鞍上区类圆形混杂团块影(5.3 cm×5.2 cm),肿块稍长T1信号增强后明显强化,囊性T1、T2信号影增强后未见强化,视交叉显示不清,肿块后缘紧贴脑干;G、H、I可见鞍上区肿块较前缩小(2.8 cm×3.5 cm),呈稍长T1稍长T2,内见小囊性长T1长T2信号影,增强后肿块明显强化 图 2 病例4患儿术前及化疗后头颅MRI影像对比 |
|
|
随访结果:5例患儿术后均再次行内分泌激素评估,术前随机GH水平升高的2例患儿术后均降至正常范围(表 1),但另有2例出现多垂体激素缺乏。术后均对其随访至2024年10月31日(随访时间8~73个月),体重增长1.65 ~42.4 kg不等,其中1例术后随访40个月身高增长34 cm,体重增长42.4 kg,BMI 29.29 kg/m2,体重急速增长,诊断为下丘脑性肥胖(hypothalamic obesity, HO)。在4例视力视野受损患儿中2例术后维持稳定,2例失明。其中2例患儿术前眼球震颤及呕吐症状在术后明显改善。1例术前偏瘫、1例低血压患儿术后明显缓解。目前3例仍在维持CV方案治疗中。2例经检查确诊多垂体激素缺乏,给予氢化可的松、甲状腺素、去氨加压素片替代治疗。1例肿瘤无进展,3例肿瘤缩小,1例肿瘤较化疗结束时增大。目前4例患儿记忆力、感觉无缺陷,社交均可,2例失明患儿中,1例就读盲人学校,1例未达学龄前期。
2.4 文献复习以“间脑综合征”“儿童”“Diencephalic syndrome”“children”为关键词,对中国知网、万方数据库、维普期刊、中华医学期刊、PubMed建库至2024年8月的相关文献进行检索,共纳入临床资料完整的46例儿童病例进行后续分析[2-20]。结合本中心5例共51例患儿,男28例,女23例。中位发病年龄8(0~132)个月,最小发病年龄为生后几周[8],中位诊断年龄19(4~180)个月,中位诊断延迟时间9(0~84)个月(表 2)。临床表现包括不同程度的消瘦(49/51,96.0%)、眼球震颤(26/51,51.0%)、呕吐(23/51,45.1%)、视力视野受损(15/51,29.4%)、多动(13/51,25.5%)、欣快(4/51,7.8%)、厌食(4/51,7.8%)、易怒(4/51,7.8%)、偏瘫(4/51,7.8%)、嗜睡(3/51,5.9%)、斜视(1/51,1.96%)、癫痫发作(1/51,1.96%)、多尿(1/51,1.96%)、低血压(1/51,1.96%)(表 3)。术前评估内分泌激素,发现29.4%(15/51)患儿出现随机GH升高,1.96%(1/51)皮质醇升高;术后25.5%(13/51)出现一种/多种垂体激素缺乏,13.7%(7/51)出现继发性性早熟,5.9%(3/51)患儿随机GH仍偏高。
| 作者(年份) | 人数 | 中位发病年龄(月) | 中位诊断年龄(月) | 中位延迟诊断时间(月) |
| Smith(1965) | 1 | 3 | 12 | 9 |
| Pimstone(1970) | 2 | 21.5(7~36) | 35.5(11~60) | 14(4~24) |
| S.PELC(1972) | 3 | 3(2~5) | 6(4~17) | 2(1~14) |
| Hager(1972) | 1 | 6 | 7 | 1 |
| Addy(1972) | 3 | 5(0~5) | 19(9~20) | 14(4~20) |
| Salmon(1972) | 1 | 20 | 23 | 3 |
| Burr(1976) | 3 | 4(4~36) | 8(8~120) | 4(4~84) |
| Drop(1980) | 1 | 2 | 10 | 8 |
| Namba(1985) | 3 | 4(3~24) | 26(16~45) | 21(12~23) |
| Vlachopapadopoulou(1993) | 1 | 3 | 4 | 1 |
| Greenes(1996) | 1 | 1 | 4 | 3 |
| Tina(1997) | 9 | 5(1~32) | 13(4~56) | 7(2~29) |
| Ertem(2000) | 3 | 6(6~22) | 12(6~30) | 6(0~8) |
| Densupsoontorn(2011) | 3 | 6(3~7) | 12(10~15) | 7(5~9) |
| Grawford(2013) | 1 | 12 | 84 | 72 |
| Tosur(2017) | 2 | 7(6~8) | 17(10~24) | 10(4~16) |
| Florencia(2018) | 1 | 25 | 30 | 5 |
| Sandra(2022) | 3 | 8(8~18) | 16(14~26) | 8(6~8) |
| Milena(2023) | 4 | 69(4~132) | 87.5(10~180) | 18.5(6~48) |
| 本研究中心 | 5 | 8(2~37) | 12(7~49) | 5(2~12) |
| 项目 | 人数(%) |
| 性别 | |
| 男 | 28(54.90) |
| 女 | 23(45.10) |
| 临床特征 | |
| 消瘦 | 49(96.08) |
| 眼球震颤 | 26(50.98) |
| 呕吐 | 23(45.10) |
| 视力视野受损 | 15(29.41) |
| 多动 | 13(25.49) |
| 欣快 | 4(7.84) |
| 厌食 | 4(7.84) |
| 易怒 | 4(7.84) |
| 偏瘫 | 4(7.84) |
| 嗜睡 | 3(5.88) |
| 斜视 | 1(1.96) |
| 癫痫发作 | 1(1.96) |
| 多尿 | 1(1.96) |
| 低血压 | 1(1.96) |
1951年,Russell首次在消瘦的儿童中描述了DS,这些儿童尽管能量摄入正常,但仍表现为消瘦、运动过度、欣快、呕吐、眼球震颤等[1, 3, 4, 8],值得注意的是这些患儿身高增长基本正常。本文回顾并收集了国外关于对DS儿童的临床资料完整病例,结合本中心共描述了51例患儿的临床特征。本中心5例患儿中位发病年龄8(2~37)个月,中位诊断延迟时间5(2~12)个月。综合文献回顾汇总分析显示中位诊断延迟时间9个月,最长延迟诊断时间为84个月,延迟诊断多因DS早期表现非特异性所致。
本文综合文献复习总结DS的临床表现,几乎所有报道的DS患儿均表现为消瘦(44/46,95.7%),尽管能量摄入正常,但均呈现皮下脂肪减少,甚至出现严重的脂肪营养不良。本中心患儿均出现消瘦(5/5),因发病年龄均偏小,此年龄段儿童多动、欣快症状易被忽视,而消瘦、体重不增更容易被识别,这与国外报道消瘦是最常见临床特征相符。DS导致消瘦的病理机制尚未完全清楚,研究认为GH增加的原因是某些下丘脑肿瘤自身分泌GH或下丘脑功能被肿瘤组织破坏后影响GH上游调控因子[9-10, 21];也有研究认为患者存在部分GH抵抗,因此只改变脂肪分布而不改变生长速度,这也能解释DS患儿虽然严重消瘦但身高增长正常的特异性表现[22]。本中心DS患儿2/5出现术前随机GH升高,和文献报道中的术前随机GH升高28.3%(13/46)相符,GH分泌增加为DS的一个典型实验室检查特点,从临床佐证了这一观点。Namba等[12]认为DS患者垂体释放的脂解激素β-lipotropin(β-LPH)过量分泌,β-LPH除会刺激GH释放外,还会促进脂肪组织分解导致消瘦,过量的β-LPH及其衍生的吗啡样肽也可能是导致DS兴奋和警觉的原因之一[10]。此外,研究发现,随着肿瘤缩小、体重增加,DS患者瘦素水平反而降低[23],和瘦素在正常人群中的变化情况不符,因此推测消瘦可能与瘦素及胃饥饿素作用失调相关。当然,肿瘤恶病质引起的能量消耗增加、垂体脂质动员因子、细胞因子(如IL-1、IL-6、TNF-α)以及肿瘤衍生物质也有可能通过影响脂肪代谢和食欲调控,导致消瘦的发生。目前DS消瘦的具体机制尚不明确,需要进一步研究[18, 24-25]。
DS最常见的肿瘤位置是下丘脑-视交叉区域,一方面,肿瘤直接压迫或浸润视神经、视交叉、视束致轴突变性及传导阻滞,出现视野缺损;另一方面,继发性颅内压增高(含梗阻性脑积水)引发视乳头水肿、视神经萎缩,终致失明。同时,肿瘤影响小血管或术后血供受损,导致缺血性视神经病变,造成相应的视野缺损。此外,患儿营养不良、内分泌紊乱问题降低视神经耐受性,加重视功能损害。而手术牵拉、化疗等治疗因素,也可能造成延迟性或进展性视野缺损。本中心患儿中视力视野受损4/5,眼球震颤2/5,呕吐2/5,与国外文献报道眼球震颤52.2%(24/46),呕吐45.7%(21/46),视力视野受损23.9%(11/46)相仿。由于DS肿瘤生长缓慢,神经特异性症状出现较晚,56%~66%的病例出现眼球震颤等不易观察的视觉症状,这可能是DS中最早的神经系统表现,但仍迟于消瘦症状[2, 8]。
儿童DS致病机制以肿瘤占位常见,但也存在较为罕见的非肿瘤性致病机制,如间脑区域先天性结构发育异常、脑积水、下丘脑区域的血管畸形或出血;既往颅内感染、自身免疫性炎症累及间脑;再者创伤或医源性损伤下丘脑,均可能引发相应症状。DS患者往往肿瘤体积较大,在术前即可能存在垂体相关激素异常及临床表现。大多数DS患者肿瘤位于下丘脑前部[2],对垂体影响较小,这解释了术前内分泌激素异常发生率低。而术后激素异常发生率高受肿瘤位置、切除范围大小等影响。如下丘脑-垂体-性腺轴因肿瘤、手术及颅内压增高等原因该轴抑制作用被激活[26]出现继发性性早熟,通常需长期随访监测。对全部51例患儿进行术前、术后内分泌激素评估,发现术前皮质醇升高1.96%(1/51),性腺功能减退症1.96%(1/51)。术后发现一种/多种垂体激素缺乏25.49%(13/51),继发性性早熟13.72%(7/51),随机GH升高5.88%(3/51),HO 1.96%(1/51),提示需重视DS患儿内分泌激素的检查及随访,及时干预以改善临床预后。
Kilday等[27]报道,33%的DS患儿在术后出现体重增加过度,本中心5例DS患儿有1例在随访过程中出现HO。引起HO的可能机制是由于手术治疗对下丘脑特别是腹正中核团损伤会涉及其神经食欲调控网络,导致能量调节失衡、脂代谢异常、脂肪的合成和分解的平衡打破,最终引起全身的脂肪蓄积,导致DS患儿迅速从消瘦向HO的演变。对于DS患者需重视HO发生的可能,未来功能性MRI可以更详细更精准地评估与能量代谢相关的特定下丘脑核团功能改变。
未经治疗的DS患儿以发病为起点的平均生存期约12个月;汇总病例显示多数患儿于6~24个月内死亡,但亦有个案长期存活,最长达11年[2, 8],在Fleischman等[22]队列报道的11例DS患儿中,病死率达55%(6/11),表现为DS的肿瘤往往更大、发生年龄更小、更具侵袭性。考虑到肿瘤位置及手术风险,大多数行次全切手术,常规术后选择观察或化疗[28]。因放疗对于学龄前患儿的长期神经功能、内分泌疾病、视神经损伤、脑血管疾病的风险有较大影响[29-30],故5岁以下儿童不再推荐。本中心5例患儿均行病损部分切除术+CV化疗方案,术前、术后肿瘤中位最大直径分别为5.1(4.5, 6.4) cm、4.7(3.8, 6.1) cm。目前病例1、3、4仍CV方案治疗中,末次随访时肿瘤中位最大直径为3.5(3.4, 4.5) cm;病例2较化疗结束时肿瘤体积相仿;病例5从化疗结束至随访25个月,其肿瘤最大直径从2.5 cm增至3.3 cm。Addy等[8]报道在22例未治疗已死亡患者中,18(81.8%)例从发病到死亡时间发生在2年内,仅3(13.6%)例生存期超过2年,另有1例死亡时间不祥。因此充分认识DS,早期识别及干预尤为重要。
通过对本中心病例报道及文献复习总结,提示DS临床表现以消瘦为最常见,早期缺乏特异性神经系统表现,因此在临床上对能量摄入及线性生长正常情况下不明原因的消瘦,需高度警惕DS,做到早诊断早治疗,同时需重视DS患儿内分泌激素的检查及随访,及时干预,改善临床预后。
利益冲突 所有作者声明无利益冲突
| [1] | Russell A. A diencephalic syndrome of emaciation in infancy and childhood[J]. Arch Dis Child, 1951: 270-275. |
| [2] | Burr IM, Slonim AE, Danish RK, et al. Diencephalic syndrome revisited[J]. J Pediatr, 1976, 88(3): 439-444. DOI:10.1016/s0022-3476(76)80260-0 |
| [3] | Trapani S, Bortone B, Bianconi M, et al. Diencephalic syndrome in childhood, a challenging cause of failure to thrive: miniseries and literature review[J]. Ital J Pediatr, 2022, 48(1): 147. DOI:10.1186/s13052-022-01316-4 |
| [4] | Poussaint TY, Barnes PD, Nichols K, et al. Diencephalic syndrome: clinical features and imaging findings[J]. AJNR Am J Neuroradiol, 1997, 18(8): 1499-1505. |
| [5] | Ertem D, Acar Y, Alper G, et al. An uncommon and often overlooked cause of failure to thrive: diencephalic syndrome[J]. J Pediatr Gastroenterol Nutr, 2000, 30(4): 453-457. DOI:10.1097/00005176-200004000-00021 |
| [6] | Densupsoontorn N, Jirapinyo P, Likasitwattanakul S, et al. Diencephalic syndrome due to astrocytoma in three infants with failure to thrive[J]. Pediatr Int, 2011, 53(5): 784-787. DOI:10.1111/j.1442-200X.2010.03320.x |
| [7] | Crawford JR, Shayan K, Levy ML. Delayed presentation of diencephalic syndrome associated with leptomeningeal dissemination in a child[J]. BMJ Case Rep, 2013, 2013: bcr2013010265. DOI:10.1136/bcr-2013-010265 |
| [8] | Addy DP, Hudson FP. Diencephalic syndrome of infantile emaciation: analysis of literature and report of further 3 cases[J]. Arch Dis Child, 1972, 47(253): 338-343. DOI:10.1136/adc.47.253.338 |
| [9] | Häger A. The diencephalic syndrome of emaciation. A case report[J]. Eur Neurol, 1972, 7(1): 130-135. DOI:10.1159/000114419 |
| [10] | Drop SL, Guyda HJ, Colle E. Inappropriate growth hormone release in the diencephalic syndrome of childhood: case report and 4 year endocrinological follow-up[J]. Clin Endocrinol (Oxf), 1980, 13(2): 181-187. DOI:10.1111/j.1365-2265.1980.tb01040.x |
| [11] | Pimstone BL, Sobel J, Meyer E, et al. Secretion of growth hormone in the diencephalic syndrome of childhood[J]. J Pediatr, 1970, 76(6): 886-889. DOI:10.1016/s0022-3476(70)80370-5 |
| [12] | Namba S, Nishimoto A, Yagyu Y. Diencephalic syndrome of emaciation (Russell's syndrome). Long-term survival[J]. Surg Neurol, 1985, 23(6): 581-588. DOI:10.1016/0090-3019(85)90007-2 |
| [13] | Greenes D, Woods M. A 4-month-old boy with severe emaciation, normal linear growth, and a happy affect[J]. Curr Opin Pediatr, 1996, 8(1): 50-57. DOI:10.1097/00008480-199602000-00011 |
| [14] | Tosur M, Tomsa A, Paul DL. Diencephalic syndrome: a rare cause of failure to thrive[J]. BMJ Case Rep, 2017, 2017: bcr2017220171. DOI:10.1136/bcr-2017-220171 |
| [15] | Pelc S. The diencephalic syndrome in infants. A review in relation to optic nerve glioma[J]. Eur Neurol, 1972, 7(6): 321-334. DOI:10.1159/000114436 |
| [16] | Spina ML, Caruso M, Gulizia C, et al. Diencephalic syndrome: misleading clinical onset of low-grade glioma[J]. Curr Oncol, 2023, 30(9): 8401-8410. DOI:10.3390/curroncol30090610 |
| [17] | Palmieri F, Núñez I, Falcón MV, et al. Diencephalic syndrome in a child with chronic malnutrition and hyperactivity[J]. Arch Argent Pediatr, 2018, 116(5): e667-e670. DOI:10.5546/aap.2018.e667 |
| [18] | Vlachopapadopoulou E, Tracey KJ, Capella M, et al. Increased energy expenditure in a patient with diencephalic syndrome[J]. J Pediatr, 1993, 122(6): 922-924. DOI:10.1016/s0022-3476(09)90021-x |
| [19] | Salmon MA. Russell's diencephalic syndrome of early childhood[J]. J Neurol Neurosurg Psychiatry, 1972, 35(2): 196-201. DOI:10.1136/jnnp.35.2.196 |
| [20] | Smith KR Jr, Weinburg WA, McAlister WH. Failure to thrive: the diencephalic syndrome of infancy and childhood[J]. J Neurosurg, 1965, 23(3): 348-351. DOI:10.3171/jns.1965.23.3.0348 |
| [21] | de Chadarévian JP, Guyda HJ, Hollenberg RD. Hypothalamic polar spongioblastoma associated with the diencephalic syndrome. Ultrastructural demonstration of a neuro-endocrine organization[J]. Virchows Arch A Pathol Anat Histopathol, 1984, 402(4): 465-474. DOI:10.1007/BF00734643 |
| [22] | Fleischman A, Brue C, Poussaint TY, et al. Diencephalic syndrome: a cause of failure to thrive and a model of partial growth hormone resistance[J]. Pediatrics, 2005, 115(6): e742-8. DOI:10.1542/peds.2004-2237 |
| [23] | Velasco P, Clemente M, Lorite R, et al. The role of leptin in diencephalic syndrome[J]. Pediatrics, 2014, 133(1): e263-6. DOI:10.1542/peds.2012-3196 |
| [24] | Foss I, Trygstad O. Lipoatrophy produced in mice and rabbits by a fraction prepared from the urine from patients with congenital generalized lipodystrophy[J]. Acta Endocrinol (Copenh), 1975, 80(2): 398-416. DOI:10.1530/acta.0.0800398 |
| [25] | Plata-Salamán CR. Central nervous system mechanisms contributing to the Cachexia-anorexia syndrome[J]. Nutrition, 2000, 16(10): 1009-1012. DOI:10.1016/s0899-9007(00)00413-5 |
| [26] | van Roessel IMAA, Schouten-van Meeteren AYN, Meijer L, et al. Transition from diencephalic syndrome to hypothalamic obesity in children with suprasellar low grade glioma: a case series[J]. Front Endocrinol (Lausanne), 2022, 13: 846124. DOI:10.3389/fendo.2022.846124 |
| [27] | Kilday JP, Bartels U, Huang AN, et al. Favorable survival and metabolic outcome for children with diencephalic syndrome using a radiation-sparing approach[J]. J Neurooncol, 2014, 116(1): 195-204. DOI:10.1007/s11060-013-1284-2 |
| [28] | Oh KS, Hung J, Robertson PL, et al. Outcomes of multidisciplinary management in pediatric low-grade gliomas[J]. Int J Radiat Oncol Biol Phys, 2011, 81(4): e481-8. DOI:10.1016/j.ijrobp.2011.01.019 |
| [29] | Sutton LN, Molloy PT, Sernyak H, et al. Long-term outcome of hypothalamic/chiasmatic astrocytomas in children treated with conservative surgery[J]. J Neurosurg, 1995, 83(4): 583-589. DOI:10.3171/jns.1995.83.4.0583 |
| [30] | Cappelli C, Grill J, Raquin M, et al. Long-term follow up of 69 patients treated for optic pathway tumours before the chemotherapy era[J]. Arch Dis Child, 1998, 79(4): 334-338. DOI:10.1136/adc.79.4.334 |
2025, Vol. 34



