现在位置是:首 页 >> 
关键字:
急性混合农药(甲维•虫螨腈和毒死蜱)中毒救治成功1例
Successful treatment of one case of acute mixed pesticide poisoning (imidacloprid and chlorpyrifos)
作者:段永春,范洲,李芳,陈安宝
发布日期:2026-03-19

段永春,范洲,李芳,陈安宝. 急性混合农药(甲维•虫螨腈和毒死蜱)中毒救治成功1例[J]. 中华急诊医学杂志, 2026,35 (3):402-406.


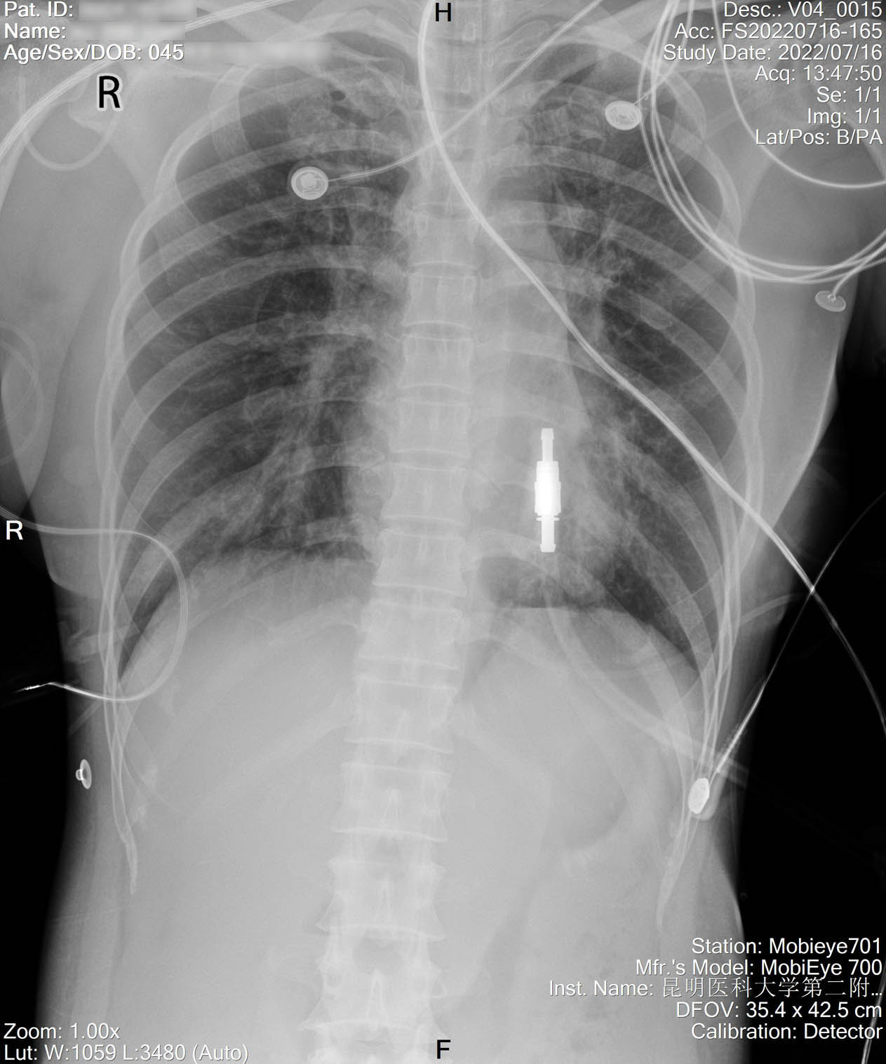
1.2.156.112536.2.560.184134135149163099.1425071090709.91.jpg

2022-07-16_胸片


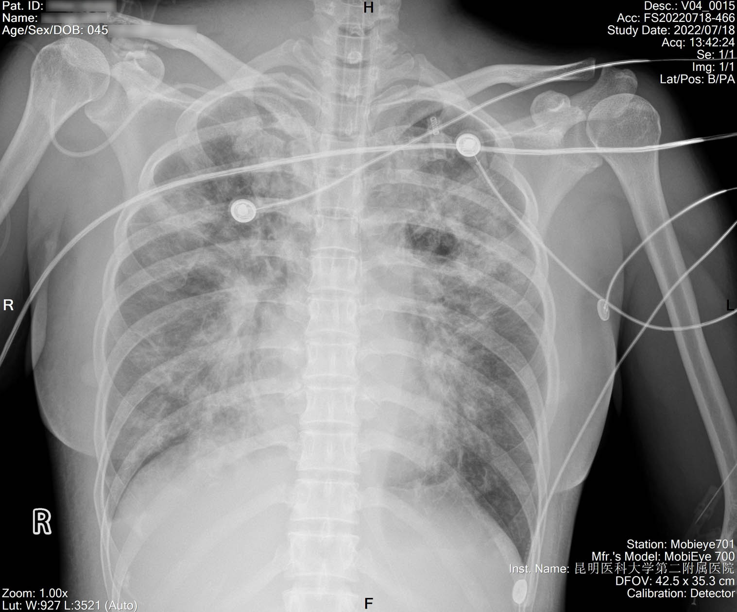
1.2.156.112536.2.560.184134135149163099.1425201816976.4.jpg

2022-07-18_胸片


1.2.156.112536.2.560.184134135149163099.1425263277683.6.jpg

2022-07-19_胸片


解决单个视频无法上传

2022-07-21_头颅CT


解决单个视频无法上传
2022-07-21_胸部CT


解决单个视频无法上传
2022-07-24_胸部CT


解决单个视频无法上传
2022-07-26_胸部CT


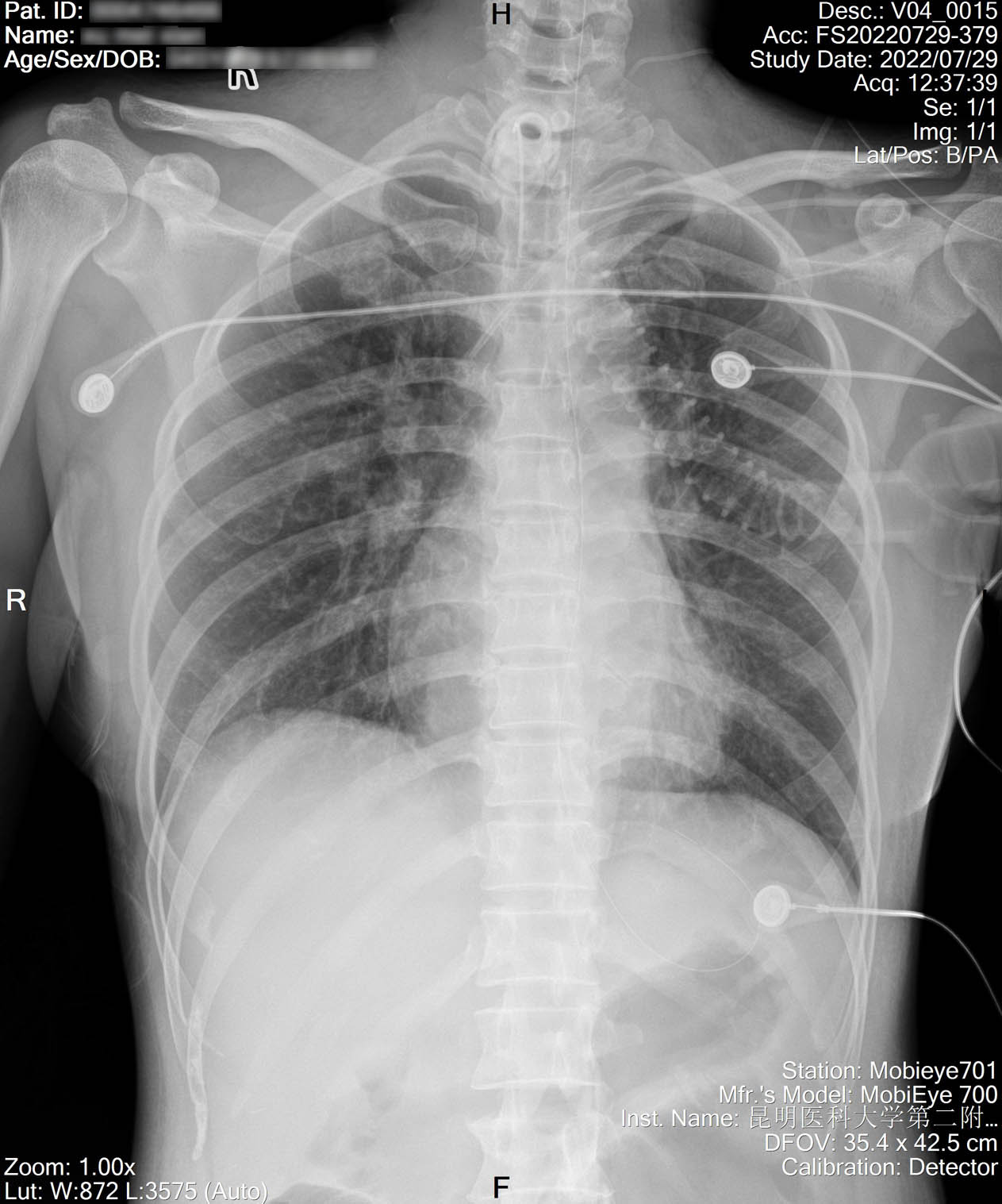
1.2.156.112536.2.560.184134135149163099.1425918311531.40.jpg

2022-07-29_胸片


解决单个视频无法上传
2022-08-01_胸部CT

 



DOI号:10.3760/cma.j.cn114656-20250529-00409


关键词: 虫螨腈 毒死蜱 中毒 血液净化 混合农药